Cl– channels are involved in several physiological functions ranging from epithelial fluid regulation to skeletal muscle contractibility. They are also involved in a number of human diseases including cystic fibrosis and Bartter’s syndrome among others. Mammalian Cl– channels can be broadly classified into four different families: voltage-dependent Cl– channels (CLCs), the cystic fibrosis transmembrane conductance regulator (CFTR), Ca2+-activated Cl– channels (Bestrophin and Anoctamin channels) and ligand-gated Cl– channels (γ-aminobutyric acid (GABA) and glycine channels). This article will focus on the first two families and will show the progress made in the field in the last few years by highlighting the extensive use of Alomone Labs antibodies by researchers.
Introduction
Cl– channels are ubiquitously expressed transmembrane proteins that allow the diffusion of anions along their electrochemical gradient. Although the channels are equally (if not more) permeable to anions such as I– or HCO3– than to Cl–, they are known as Cl– channels since this is the most abundant anion in physiological settings13.
CLC channels are ubiquitously present in all phyla from bacteria to mammals. In mammals, nine different CLC channels have been identified and are termed CLC-1 to CLC-7 and CLC-Ka and CLC-Kb.
The topology of the CLC channels is rather complex. Elucidation of the crystal structure of the bacterial CLC channel has shown that each channel subunit has 18 transmembrane helices which don’t always span the lipid bilayer, with cytoplasmic N- and C- termini. Evidence suggests that the CLC channel functional unit is a dimer and that each subunit contains a separate pore13.
CLC channels are often subdivided based on their subcellular location: channels that are expressed at the plasma membrane (CLC-1, CLC-2, CLC-Ka and CLC-Kb) and channels that are located in intracellular organelles (CLC-3 to CLC-7). Strong evidence suggest that at least CLC-4, CLC-5 and CLC-7 function as Cl–/H+ antiporters, that couple Cl– influx to H+ efflux13,14.
The CFTR channel is different from the CLC channels in that it is a member of the ATP-binding cassette (ABC) transporter superfamily. CFTR shares the ABC superfamily topology of 12 transmembrane domains with two nucleotidebinding domains (NBDs) and a regulatory (R) domain in the large third intracytoplasmic loop40.
Plasma Membrane CLC Channels
As mentioned above, the plasma membrane CLC channel subgroup includes CLC-1, CLC-2, CLC-Ka and CLC-Kb. This group is involved in the stabilization of membrane potential and transepithelial transport as well as volume regulation and ion homeostasis.
CLC-1 differs from the other plasma membrane CLC channels in that it has a very narrow tissue distribution: the channel is almost exclusively expressed in skeletal muscle. CLC-1 has a dominant role in maintaining the membrane potential at rest and is important for repolarization of the skeletal muscle cells. CLC-1 is responsible for the large Cl– conductance in skeletal muscle that allows for membrane repolarization after each action potential14.
Accordingly with its crucial function in skeletal muscle function, mutations in the CLC-1 gene result in myotonia congenita, a condition in which an increase in the excitability of skeletal muscle leads to repetitive action potentials, stiffness, and delayed relaxation. The disease can be either autosomal dominant (Thomsen’s disease), or recessive (Becker’s myotonia)19. CLC-1 is also involved in dystrophic myotonia, where mutations occurring in a different gene, dystrophia myotonica protein kinase (DMPK), cause aberrant RNA splicing and CLC-1 loss of function25. Indeed, using Anti-CLC-1 Antibody (#ACL-005) O’Cochlain et al. showed that transgenic overexpression of the DMPK gene induces a marked downregulation of CLC-1 expression in selected skeletal muscles30 (Figure 1).

A) Transgenic mice (TG) carrying 25 extra copies of the DMPK gene showed pathophysiological features that resemble myotonic dystrophy. B) and C) Anti-CLC-1 Antibody (#ACL-005) based immunofluorescence of transverse cryosections of tibialis cranialis (B) and gastrocnemius soleus (C) reveals a reduction in sarcolemmal Cl– channel protein in TG (bottom) compared with prominent sarcolemmal chloride channel in the WT (top). Scale bar, 50 μm (B and C).
Adapted from reference 30 with permission of Oxford University Press.
In contrast to the CLC-1 channel, CLC-2 has a very broad expression pattern that includes many epithelial tissues, neurons, glia and heart. Accordingly, Anti-CLC-2 (CLCN2) Antibody (#ACL-002) has been extensively used to verify expression of the CLC-2 in an impressive panel of normal tissues that include retina43, taste buds28, neuronal cell lines6, cornea42, astrocytes2, and heart11 as well as in malignant glioma cells7,31.
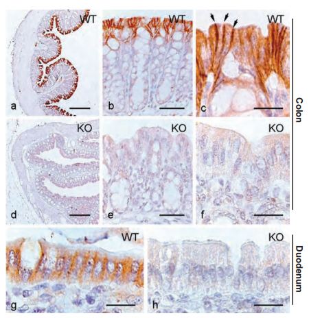
The physiological function of CLC-2 channel is still not entirely clear. An association of mutations in CLC-2 with certain forms of epilepsy has been suggested although additional studies failed to confirm the original observations40. Similarly, CLC-2 was proposed to provide an alternative route for Cl– transport in the gastrointestinal tract that might compensate for the malfunction of the CFTR channel in cystic fibrosis (see also below). However, careful immunolocalization studies using Anti-CLC-2 (CLCN2) Antibody and knockout mice as control tissue, indicated that the CLC-2 channel has a basolateral localization that is inconsistent with a role in Cl– secretion32 (Figure 2). Similarly, Romanenko et al. also confirmed a basolateral localization of the CLC-2 channel in the ducts of salivary glands, using Alomone Labs’ Anti-CLC-2 (CLCN2) Antibody and knockout mice as controls36.

CLC-2 distribution in mouse duodenum and colon using Anti-CLC-2 (CLCN2) Antibody (#ACL-002). A)-C) Immunoperoxidase labeling for CLC-2 in distal colon of wild-type mouse tissue; arrows in (C) indicate surface epithelial cell-to-cell junction. D)-F) Similar tissue sections taken from a CLC-2 knockout (KO) mice. G) and H) Sections from duodenum villi from wild-type and CLC-2 KO mice. Scale bars, 100 μm (A and D); 25 μm (B and E); 10 μm (C,F,G and H).
Adapted from reference 32 with permission of The Company of Biologists.
Recent work provided compelling evidence that the CLC-2 channel may encode the endogenous ICl,ir current in cardiac myocytes, which may play an important role in the regulation of cardiac pacemaker activity, particularly under stressed or pathological conditions11. This was demonstrated by a combination of immunohistochemical analysis and electrophysiological studies that inhibited the endogenous current using Anti-CLC-2 (CLCN2) Antibody in intracellular dialysis assays11.
The human CLC-Ka and CLC-Kb (known as CLC-K1 and CLC-K2 in the rat) channels are closely related genes that share 94% sequence homology and identical genomic organization.
CLC-K channels are expressed primarily in the kidney from the thin ascending limb to the collecting duct of the nephron, and in the stria vascularis and dark cells of the vestibular organ of the inner ear.
The channels are essential for renal salt reabsorption and water balance by enabling Cl– exit across the basolateral membranes. The importance of the CLC-K channel in renal function is demonstrated by the fact that loss-of-function mutations in CLC-Kb lead to Bartter syndrome type III, an autosomal recessive disorder characterized by severe salt wasting, low blood pressure, hypokalemia and hypercalciuria13,14,40.
CLC-K channels are poorly expressed at the plasma membrane by themselves and strong plasma membrane expression is dependent on the presence of an auxiliary β subunit termed barttin. Barttin is a small membrane-spanning protein identified as the product of the BSND gene that is mutated in human Bartter syndrome type IV, a more severe renal salt wasting syndrome13,14,40.
Interestingly, gain-of-function polymorphisms in CLC-Ka and CLC-Kb have been associated with hypertension. Indeed, in two recent articles Capasso et al.4 and Bergler et al.3, using the Anti-CLC-K Antibody (#ACL-004), demonstrate that the CLC-K channel is upregulated in distal convoluted tubule (DCT) cells under high salt or high osmolality conditions, which correlate with hypertension.
In addition, the well studied tissue localization of the CLC-K channels together with the proven qualities of Anti-CLC-K Antibody has permitted extensive use of Alomone Labs’ Anti-CLC-K Antibody as a marker in kidney1,17,18,24,39 (Figure 3) and in inner ear tissues37.

Low- and high-magnification fields of merged 2-color immunofluorescence. Claudin-19 (green) is expressed in a subset of cells (arrowheads) within thin ascending limbs, which are identified by apical and basolateral membrane expression of CLC-K (red) visualized with Anti-CLC-K Antibody (#ACL-004).
Adapted from reference 1 with permission of the American Physiological Society.
Intracellular CLC Channels
The intracellular CLCs that include CLC-3, CLC-4, CLC-5, CLC-6 and CLC-7 channels are mainly localized in the endosomal/lysosomal compartment where they are probably involved in the regulation of luminal acidification or luminal Cl– concentration. Based on sequence similarities, the intracellular channels are often divided into two subgroups that include CLC-3, CLC-4 and CLC-5 in one group, and CLC 6 and CLC-7 in another13,14,40.
At least for CLC4, CLC5 and CLC7, there is strong evidence showing that they function as electrogenic Cl–/H+exchangers rather than genuine Cl– channels33.
Although the broadly expressed CLC-3 channel is probably the most studied of the intracellular CLC channels there is still much uncertainty about its physiological function.
Nevertheless, the endosomal localization of the CLC-3 channel was clearly demonstrated in thecwork of Hara-Chikuma et al. among others, using Anti-CLC-3 (CLCN3) Antibody (#ACL-001) in transfected cells and analyzing the channel colocalization with endosomal markers10 (Figure 4).

CHO cells were transfected with cDNA encoding c-Myc epitope-tagged mouse CLC-3. Control cells were transfected with cDNA encoding c-Myc alone. Immunofluorescence with c-Myc and Anti-CLC-3 (CLCN3) Antibody (#ACL-001) shows CLC-3 expression in the transfected CHO cells in an endosomal pattern.
Adapted from reference 10 with permission of The American Society for Biochemistry and Molecular Biology.
CLC-3 is widely distributed with prominent expression in tissues of neuroectoderm origin. In the brain, it is highly expressed in the hippocampus, olfactory bulb and olfactory cortex. The channel is also prominently expressed in aortic and coronary vascular smooth muscle cells, aortic endothelial cells and tracheal and alveolar epithelial cells. Using Alomone Labs’ Anti-CLC-3 (CLCN3) Antibody in a CLC- 3 knockout mice controlled experiment, Robinson et al. showed that CLC-3 is the CaMKII-dependent Cl– conductance in aortic smooth muscle cells35 (Figure 5). Similarly, other researchers have used the Anti-CLC-3 (CLCN3) Antibody as a control in several CLC-3 knockout mice studies38 or in studies that the CLC-3 channel was specifically knocked out using shRNA or siRNA16,46,45,41.

Protein homogenates from aorta or cultured aortic vascular smooth muscle cells were used to identify native CLC-3 using Anti-CLC-3 (CLCN3) Antibody (#ACL-001). Immunoblots confirm the depletion of CLC-3 protein in CLC-3-/- lanes.
Adapted from reference 35 with permission of Blackwell Publishing Ltd.
Interestingly, several studies have found that CLC-3 expression and function are essential for cell cycle regulation and/or apoptosis prevention in several cancerous cell lines. This was demonstrated using Anti-CLC-3 (CLCN3) Antibody in western blot, immunocytochemistry, immunogold electron microscopy and even in electrophysiological studies that inhibited the endogenous current using antibodies in intracellular dialysis assays9,20,21,31,46.
The physiological function of CLC-4, another member of the intracellular CLC channels, is even less understood compared to CLC-3. The channel is broadly expressed in tissues such as brain, skeletal muscle, liver, and kidney and is mainly localized in intracellular vesicles, where it was found to function as an electrogenic Cl–/H+ exchanger. Accordingly, a very recent article by Mohammad-Panah et al. showed that in cell lines derived from CLC-4 knockout mice there is a defect in the mechanism of iron uptake through the transferrin receptor system that is ascribed to the failure of dissociation of iron from its receptor in endocytic compartments29.
The CLC-5 channel has a much more restricted tissue expression than CLC-3 and CLC-4, with prominent expression in kidney and small intestine. Also, as opposed to CLC-3 and CLC-4, loss-of-function mutations in the CLC-5 gene have been linked with human diseases. Indeed, mutations in the CLC-5 gene cause Dent’s disease, in which impaired receptor mediated endocytosis and endosomal acidification in renal proximal tubule cells result in proteinuria and kidney stones13,14,40. Anti-CLC-5 (CLCN5) Antibody (#ACL-003) has been used in western blots to detect the CLC-5 channel in human glioma and myeloid cells33,15.
Similarly to CLC-5, mutations in the intracellular CLC-7 channel have been linked to human disease. Loss-of-function mutations in CLC-7 cause osteopetrosis, an inherited disease where malfunction of osteoclasts, a cell type with very high CLC-7 expression level, leads to increased bone density13,14,40.
CLC-6 is the last member of the intracellular CLC channels. Little is known about its physiological function, and generation of knockout mice showed no apparent phenotype but for a lysosomal storage disease associated with lipofuscin accumulation14.
The CFTR Cl– Channel
CFTR is a very unusual Cl– channel in that it is structurally and functionally a member of the ATP-binding cassette (ABC) transporter superfamily. As with all ABC transporters, CFTR binds to ATP and uses its energy to drive the transport of molecules across cell membranes. CFTR is unique in the sense that ATP hydrolysis drives Cl– transport rather than other compounds and ligands8,40. In addition to ATP hydrolysis, CFTR Cl–conductance is also dependent on phosphorylation of the channel by cAMP-dependent protein kinase A (PKA) at the regulatory (R) intracellular domain13.
The CFTR gene was identified in 1989 as the genetic basis of cystic fibrosis, an autosomal recessive disease that is the most common genetic disease among Caucasians. Clinical features of cystic fibrosis (CF) include chronic lung infection with progressive deterioration of lung function, pancreatic exocrine insufficiency, male infertility and various less common gastrointestinal complications with lung disease being the principal cause of morbidity and mortality in CF40,8.
CFTR is expressed in diverse epithelial tissues including lung, kidney, pancreas, intestine, secretory glands and epididymis where it mediates Cl– secretion. In fact, in tissues such as colon CFTR accounts for the entire Cl– conductance of the organ13. Anti-CFTR Antibody (#ACL-006) has been used to confirm CFTR expression in several tissues such as submandibular glands12, sperm cells44, oviduct5, and circumvallate papillae in the rat tongue26,27. In the tongue, CFTR was found to be expressed in taste receptor cells where it co-localizes with α-gustducin, an α G-protein involved in the transduction of the bitter, sweet and umamitastes26 (Figure 6).

Double immunofluorescence by laser scanning confocal microscopy using Anti-CFTR Antibody (#ACL-006) and anti-α-gustducin antibody in taste receptor cells of rat circumvallate papillae (A–C). Coexpression of labeling was mainly observed in the perinuclear cytoplasm or in the apical cell pole; occasional cells showed complete coincidence of labeling. In addition, a subset of gustducin-positive cells lacked CFTR expression while other cells were only CFTR positive.
Adapted from reference 26 with permission of Oxford University Press.
In addition to its role as a secretory Cl– channel, CFTR also regulates several transport proteins, including the Epithelial Na+ Channel (ENaC), K+ channels, ATP-release mechanisms, anion exchangers, Na+-bicarbonate transporters, and aquaporin water channels. Furthermore, CFTR cellular localization and function is regulated by several proteins such as syntaxin 1A, a SNARE protein involved in intracellular trafficking, and Na+/H+ exchanger regulatory factor-1 (NHERF-1) a PDZ-containing adaptor protein8,13. Indeed Anti-CFTR Antibody has been used in western blot analyses and/or immunoprecipitation experiments to examine the formation of molecular complexes with NHERF-122,23 and the Aquaporin 9 water channel34.
References
- Angelow, S. et al. (2007) Am. J. Physiol. 293, F166.
- Benfenati, V. et al. (2007) J. Neurochem. 100, 87.
- Bergler, T. et al. (2008) Kidney Int. 74, 1170.
- Capasso, G. et al. (2008) Am. J. Physiol. 295, F556.
- Chen, M. et al. (2008) Acta Biochim. Biophys. Sin. 40, 864.
- DeFazio, R.A. et al. (2002) Mol. Endocrinol. 16, 2872.
- Ernest, N.J. et al. (2005) Am. J. Physiol. 288, C1451.
- Guggino, W.B. and Stanton, B.A. (2006) Nat. Rev. Mol. Cell Biol. 7, 426.
- Habela, C.W. et al. (2008) J. Neurosci. 28, 9205.
- Hara-Chikuma, M. et al. (2005) J. Biol. Chem. 280, 1241.
- Huang, Z.M. et al. (2009) J. Mol. Cell. Cardiol. 47, 121.
- Ishibashi, K. et al. (2006) J. Dent. Res. 85, 1011.
- Jentsch, T.J. et al. (2002) Physiol. Rev. 82, 503.
- Jentsch, T.J. et al. (2008) Crit. Rev. Biochem. Mol. Biol. 43, 3.
- Jiang, B. et al. (2004) Biochem. Biophys. Res. Com. 317, 192.
- Kasinathan, R.S. et al. (2007) FEBS Lett. 581, 5407.
- Kiuchi-Saishin, Y. et al. (2002) J. Am. Soc. Nephrol. 13, 875.
- Klein, J.D. et al. (2002) Am. J. Physiol. 283, F517.
- Koch, M.C. et al. (1992) Science 257, 797.
- Lemonnier, L. et al. (2004) Cancer Res. 64, 4841.
- Lemonnier, L. et al. (2005) Endocr. Relat. Cancer 12, 335.
- Li, J. et al. (2005) J. Biol. Chem. 45, 37634.
- Li, J. et al. (2007) J. Biol. Chem. 282, 27086.
- Li, W.Y. et al. (2004) Am. J. Physiol. Renal Physiol. 286, F1063.
- Mankodi, A. et al. (2002) Mol. Cell 10, 35.
- Merigo, F. et al. (2008) Chem. Senses 33, 231.
- Merigo, F. et al. (2009) Cel. Tissue Res. 336, 411.
- Miyamoto,T. et al. (2001) Chem. Senses 26, 67.
- Mohammad-Panah, R. et al. (2009) J. Cell Sci. 122, 1229.
- O’Cochlain, D.F. et al. (2004) Human Mol. Genetics 20, 2505.
- Olsen, M.L. et al. (2003) J. Neurosci. 23, 5572.
- Peña-Munzenmayer, G. et al. (2005) J. Cell Sci. 118, 4243.
- Picollo, A. et al. (2005) Nature 436, 420.
- Pietrement, C. et al. (2008) J. Biol. Chem. 283, 2986.
- Robinson, M.C. et al. (2004) J. Physiol. 556.2, 353.
- Romanenko, V.G. et al. (2008) Am. J. Physiol. 295, G1058.
- Sage, C.L. et al. (2001) Hearing Res. 160, 1.
- Schenck, S. et al. (2009) Nat. Neurosci. 12, 156.
- Tagawa, H. et al. (2005) J. Biol. Chem. 280, 23876.
- Verkman, A.S. and Galietta, L.J.V. (2009) Nat. Rev. Drug. Discov. 8, 153.
- Wang, G.L. et al. (2002) Circ. Res. 91, e28.
- Webb, K.J. et al. (2004) Invest. Ophtalmol. Vis. Sci. 45, 4400.
- Wills, N.K. et al. (2000) Invest. Ophtalmol. Vis. Sci. 41, 4247.
- Xu, W.M. et al. (2007) Proc. Natl. Acad. Sci. U.S.A. 104, 9816.
- Yin, Z. et al. (2008) Am. J. Physiol. Cell Physiol. 294, C535.
- Zhang, H.N. et al. (2006) Apoptosis 11, 327.