The cyclic nucleotide-regulated ion channels are a heterogeneous superfamily of different ion channels that share common membrane topology and pore structure and display a cyclic nucleotide-binding domain in their C-terminal region. Members of this superfamily include cyclic nucleotide-gated (CNG) cation channels, hyperpolarization-activated cyclic nucleotide-gated (HCN) cation channels and also several members of the voltage-dependent K+ channels such as the KV10 (eag) and the KV11 (erg) subfamilies. Channel regulation by cyclic nucleotides has been largely studied in the context of the CNG and HCN groups and will be the subject of this brief review.
Introduction
Although it has been known for some time that intracellular cyclic nucleotides such as cAMP and cGMP were capable of modulating ion channels, the common assumption was that this was achieved through indirect means, via activation of cyclic nucleotide-dependent kinases, which in turn regulate the relevant channels. It thus came as a surprise when it was demonstrated that cGMP can directly activate the cation channel at rod photoreceptors1. From this initial discovery, several channels that can be directly activated by cyclic nucleotides have been identified. These include members of the CNG cation channel family as well as the related HCN channels all of which present the signature cyclic nucleotide binding domain (CNBD). Members of the CNG and HCN channel families share several characteristics besides the CNBD such as similar topology and pore structure. However, they differ radically in their biophysical properties and functional characteristics. The salient characteristics of the CNG and HCN channels will be discussed below.
CNG Channels: Seeing the Light; Smelling the Smell
CNG channels have been largely studied in the context of sensory systems such as the visual and olfactory systems where they perform essential physiological functions and mediate sensory cascades. CNG channels display the prototypical topology of the Kv channels: six transmembrane domains with intracellular N- and C-termini. In addition, CNG channels also contain the regularly-spaced positively charged basic residues that conform the “voltage sensor” motif in the S4 loop. However, CNG channels are only weekly voltage-sensitive and are in effect activated solely by binding of cyclic nucleotides to the CNBD2, 3.
The CNG channel family in mammals consists of six different subunits that can be divided into two families based on phylogenetic relationship: the A subunits (CNGA1 to CNGA4) and the B subunits (CNGB1 and CNGB3). Two functionally important splice variants of CNGB1 have been identified: CNGB1a and CNGB1b. The former is exclusively expressed in the visual system rod photoreceptors, while the latter is expressed in olfactory neurons. Only A subunits (with the exception of CNGA4) can form functional homomeric channels when expressed in heterologous systems. However, B subunits and CNGA4 confer novel properties on CNGA1- CNGA3 proteins that correspond to the observed characteristics of the native CNG channels.
Similarly to Kv channels, the functional form of the CNG channels is believed to be a tetramer2, 3. CNG channels are permeable to monovalent cations such as Na+ and K+ as well as to Ca2+. In most studied tissues, opening of the CNG channels will result in an inward cation current largely carried by Na+ and Ca2+ which results in membrane depolarization. Ca2+ entering through the channels also works as a feedback regulation mechanism that blocks the channels directly (via direct binding of a Ca2+-calmodulin complex to the channel) or indirectly4. In general, CNG channels are more sensitive to cGMP than cAMP, although a high degree of variability is observed among the native channels. For example, the CNG rod photoreceptor channel (composed of CNGA1 and CNGB1a) is much more sensitive to cGMP, while the olfactory channel (composed of CNGA2, CNGA4 and CNGB1b) is equally sensitive to both ligands. It is important to notice that unlike other ligand-gated channels, the CNG channels do not desensitize and the channels remain open for as long as the ligand is present. Pharmacologically, several small molecular drugs have been shown to block CNG channels although with low specificity and affinity. The most potent blocker of the CNG channels known today is the peptide toxin Pseudechetoxin that blocks homomers of CNGA1 and CNGA2 at the nM range5.
As already mentioned the best understood physiological function of the CNG channels is in the visual and olfactory systems. In the visual system, the channel is located at both the rod and cone photoreceptor. When light hits the retina, it activates rhodopsin which starts a signal transduction cascade that reduces cellular cGMP. This reduction rapidly closes the CNG channels that were producing the so-called “dark current”. Closure of the CNG channels produces a hyperpolarization that is relayed to the inner retinal segments and ultimately induces a decrease in the release of the neurotransmitter glutamate. The decrease in the intracellular Ca2+ levels caused by the CNG channels closure produces a negative feedback mechanism in the phototransduction cascade that results in increased production of cGMP and therefore restoration of the dark current3, 4. Interestingly, in olfactory sensory neurons functional activity of the CNG channels is quite the opposite. In these neurons, odorants bind and stimulate specific G-protein-coupled receptors starting a signal cascade that increases the cytosolic concentrations of cAMP thus opening previously closed CNG channels. Opening of the CNG channels produces a membrane depolarization and an increase in intracellular Ca2+ that will further convey the odorant signal3, 4.

Immunohistochemical staining of CNGA3 in rat hippocampal dentate gyrus (DG), using Anti-CNGA3 antibody (#APC-060). Neurons were found in the hilus of the DG with dendritic processes extending across the granule cell layer (arrows) both in the dorsal blade (A) and ventral blade (B). Diaminobenzidine color product is blue-black (arrows). The fluorescent counterstain is DAPI (silver).

1. Anti-CNGA3 antibody (#APC-060) (1:200).
2. Anti-CNGA3 antibody, preincubated with the negative control antigen.
HCN Channels: Keeping the Pace
Periodic activities in biological systems such as the autonomous beating of the heart, the rhythmic firing of neuronal networks or the cyclic activity of the circadian clock are common themes in all organisms. The molecular entities that control these mechanisms, are only now being revealed. The HCN channels were found to play a prominent role in setting the pace of biological oscillations thanks to their special biophysical properties and are thus termed “pacemaker” channels. Similar to the CNG channels, their topology resembles that of the Kv channels and like the former they exhibit a CNBD in their C-terminal domain. Interestingly, in contrast to the CNG channels, HCN channels strongly select cAMP over cGMP. A salient characteristic of the HCN channels is that as opposed to all voltage-dependent channels that open following membrane depolarization, the HCN channels do so following hyperpolarization. The “voltage sensor” in the S4 loop of the HCN channels is quite similar to that of the Kv channels, but despite that, the polarity of the activation is the opposite. The exact manner by which the HCN channel’s voltage sensor responds to hyperpolarization instead of depolarization is a matter undergoing intense scrutiny that will undoubtedly be clarified in the coming years6-8.
As expected from their structural relationship with Kv channels, the functional HCN channel is probably a tetramer. Today, four members of the HCN family have been identified: HCN1 to HCN4. All members of the family produce currents with the main properties observed in native HCN currents (i.e activation upon hyperpolarization and sensitivity to cyclic nucleotides) when expressed in heterologous systems. However, there are several biophysical characteristics that vary considerably between the different subunits, such as kinetics of activation and deactivation and cAMP sensitivity6-8. HCN channels have a mixed K+ and Na+selectivity, but because they open at hyperpolarized membrane voltages that approach the K+ equilibrium potential, the open HCN channels produce an inward Na+ current7. Although the HCN family members are expressed throughout the central and peripheral nervous system, their physiological activity has been best studied in the cardiac sinoatrial node, the region of the heart that controls cardiac rhythmic contractions. The native HCN channel in this region is probable a heteromer composed of HCN1 and HCN49. The native pacemaker current in the heart has been variable called Ih (for hyperpolarization-activated), If (for funny) and Iq (for queer). Rhythmic cardiac contractions start by the opening of voltage-dependent Ca2+ channels (T-type followed by L-type) in SA node cardiomyocytes that cause a large depolarization. This depolarization opens K+channels that repolarize the membrane and halt further Ca2+ entry. Towards the end of this process, the hyperpolarized membrane voltage opens the HCN channels that slowly depolarize the membrane (via their inward Na+ current) until the Ca2+ channels open again. Thus the opening of the HCN channels determines the duration of the intervals between successive action potentials. The other characteristic of the HCN channels, that is, their modulation by cAMP, is also of critical physiological importance as it underlies the acceleration of heartbeat following sympathetic stimulation. Stimulation of the cardiac β-adrenergic receptor induces an increase in the intracellular cAMP levels that binds to the HCN channel and increases its activity. As a result, the depolarization mediated by the HCN channels is accelerated and the intervals between action potentials is shortened resulting in increased heartbeat7.

Immunohistochemical staining of CNGA2A channel with Anti-CNGA2 antibody (#APC-045) in the vicinity of the mouse lateral ventricle (LV). (A) CNGA2 channel (red) appears in cells lining up the wall of the lateral ventricle (horizontal arrows). (B) staining of astrocytes with mouse anti glial fibrillary acidic protein (GFAP, green) demonstrates penetration of astrocytic fibers (vertical arrows) into the wall of the lateral ventricle. (C) Confocal merge of CNGA2 and GFAP.

Immunohistochemical staining of HCN2 channel with Anti-HCN2 antibody (#APC-030) in rat cerebellum. (A) HCN2 channel (red) appears in Purkinje cells (arrows). (B) staining of astrocytes with mouse anti glial fibrillary acidic protein (GFAP, green) demonstrates the restriction of HCN2 to neuronal cell bodies. (C) Confocal merge of HCN2 and GFAP images demonstrates the respective localization of these proteins.

1. Anti-CNGA2 antibody (#APC-045) (1:200).
2. Anti-CNGA2 antibody, preincubated with the negative control antigen.

1. Anti-HCN2 antibody (#APC-030) (1:200).
2. Anti-HCN2 antibody, preincubated with the negative control antigen.

Immunohistochemical staining of HCN4 channel with Anti-HCN4 antibody (#APC-052) in mouse thalamus. (A) HCN4 channel (red) appears in the neuropil of the lateral nucleus (LN). (B) staining of reticular nucleus (RN) with mouse anti parvalbumin (a calcium binding protein, green). (C) Confocal merge of HCN4 and parvalbumin images demonstrates separate localization of these proteins in the thalamus.

1. Anti-HCN4 antibody (#APC-052) (1:200).
2. Anti-HCN4 antibody, preincubated with the control fusion protein.

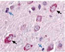
Immunohistochemical staining of HCN1 with Anti-HCN1 antibody (#APC-056) in in rat basal ganglia. Picture showing the putamen nucleus. Neuronal cells (black arrows) were strongly stained, whereas glial cells (blue arrows) show no staining at all. Color reaction is red and counterstain is hematoxylin.
Immunohistochemistry data provided by LifeSpan Biosciences, Seattle, USA.

1. Anti-HCN1 antibody (#APC-056) (1:200).
2. Anti-HCN1 antibody, preincubated with the negative control antigen.
References
- Fesenko, E.E. et al. (1985) Nature 313, 310.
- Biel, M. et al. (1999) Rev. Physiol. Biochem. Pharmacol. 135, 151.
- Kaupp, U.B. and Seifert, R. (2002) Physiol. Rev. 82, 769.
- Trudeau, M.C. and Zagotta, W.N. (2003) J. Biol. Chem. 278, 18705.
- Brown, R.L. et al. (1999) Proc. Natl. Acad. Sci. USA 96, 754.
- Santoro, B. and Tibbs, G.R. (1999) Ann. N.Y. Acad. Sci. 868, 741.
- Kaupp, U.B. and Seifert, R. (2001) Annu. Rev. Physiol. 63, 235.
- Baruscotti, M. and DiFrancesco, D. (2004) Ann. N.Y. Acad. Sci. 1015, 111.
- Altomare, C. et al. (2003) J. Physiol. 549.2, 347.