GABA (γ-aminobutyric acid) is the major inhibitory neurotransmitter in the brain. Its production, release, reuptake and metabolism occur in the nervous system. The GABA transmitter interacts with two major types of receptors: ionotropic GABAA and the metabotropic GABAB receptors. The GABAA receptor belongs to the ligand gated channel superfamily.
The neurotransmitter GABA (γ-aminobutyric acid) inhibits the activity of signal-receiving neurons by interacting with the GABA(A) receptor on these cells1 There are two major types of GABA receptors: the ionotropic GABA(A) and the metabotropic GABA(B) receptors. GABA(A)receptor belongs to the ligand gated ion channel superfamily1,2. It is a heteropentamer, with all of its five subunits contributing to the pore formation. Eight subunit isoforms have been cloned: α, β, γ, δ, ε, π, θ and ρ1. The native GABA(A) receptor, in most cases, consists of 2α, 2β and 1γ subunits. The binding of GABA to its GABA(A) receptor results in conformational changes that open a Cl- channel, producing an increase in membrane conductance, resulting in inhibition of neural activity2,3. Recently, a genetic linkage between familial epilepsy syndrome and mutations in the γ2 subunit of the GABA(A) receptor has been demonstrated4,5.

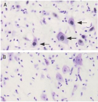
Staining with rabbit Anti-GABA(R) γ2 antibody (#AGA-005) in rat dorsal pons and cresyl violet counterstain (pink-purple). Neuronal nuclei were visualized (A, ARROWS). This pattern was completely blocked by pre-incubation with the antigen (B).
References
- Mihic, S.J. et al. (1997) Neurotransmit. Rev. 21, 127.
- Whiting, P.J. (1999) Neurochem. Inter. 34, 387.
- Ashcroft, F.M. (2000), Ion Channels and Disease, Ed 1.
- Wallace, R.H. et al. (2001) Nat. Genet. 28, 49.
- Baulac, S. et al. (2001) Nat. Genet. 28, 46.