Free shipping starts now, no minimum, no coupons required!

KATP Channels: Linking Cell Metabolism to Cell Excitability

ATP-sensitive K+ channels (KATP channels) were described nearly 20 years ago in membrane patches of isolated ventricular myocytes. Since then, channels with similar properties have been described in pancreatic β-cells, skeletal and smooth muscle cells and neurons, where they serve as couplers between cell metabolism and cell membrane potential. The KATP channels are composed of two distinct proteins: an inwardly rectifying K+ channel (Kir) pore subunit and a regulatory sulfonylurea receptor (SUR) subunit. In the present review we will briefly summarize the accumulated knowledge concerning several aspects of KATP channel function with a special emphasis on their role in the regulation of insulin secretion.

KATP Channel Structure

The KATP channels are heteromultimers of two radically different subunits. The pore-forming subunit is composed of members of the inward rectifier Kir6.x subfamily that includes two members: Kir6.1 and Kir6.2. The Kir6.x subunits exhibit the common topology of the inward-rectifier superfamily: two transmembrane domains flanking a highly conserved pore region with the N and C-terminus located intracellularly. The other component of the KATP channels is the sulfonylurea receptor (SUR) that is a member of the ATP-binding cassette (ABC) superfamily. There are three different isoforms of the SUR subunit SUR1, SUR2A and SUR2B, where the last two are alternative splice variants of the same gene. Similarly to other members of the ABC superfamily, the SUR subunits display 17 transmembrane domains with two cytoplasmic nucleotide-binding domains (NBDs) (see Figure 1)1,2. The functional KATP channel is an octamer composed of four Kir6.x and four SUR subunits which can assembly to form different subunit combinations. Thus the pancreatic β-cells KATP channel is formed by Kir6.2/SUR1 subunits, Kir6.2/SUR2A or Kir6.1/SUR2A form the cardiac KATP channel while Kir6.1/SUR2B subunits compose the vascular smooth muscle (VSM) KATP channel. The different types of KATP channels differ not only in their tissue expression but also in their pharmacology and sensitivity to ATP.

Regulation of KATP Channels

The hallmark property of KATP channels is their high sensitivity to inhibition by intracellular ATP. ATP binds directly to the pore-forming Kir6.x subunits to close the channels even though the Kir6.x subunits don’t have a consensus nucleotide-binding domain3. The SUR subunits bind ADP and Mg-nucleotides that raise the open probability of the channel as well as known KATP channel openers such as diazoxide, pinacidil and chromakalim. In addition, the SUR subunits mediate the sulfonylurea-mediated KATP channel inhibition. The SUR subunits are also necessary for surface expression of the Kir6.x channels. Both subunits contain an ER retention motif in their cytoplasmic regions, and thus only formation of the octameric complex masks this motif and allows surface expression of the assembled channel4.

KATP Channel Physiology: Regulation of Insulin Secretion

KATP channels are expressed in cardiomyocytes and neurons where they may have a protective role against various stresses including ischemia (inadequate blood supply) and hypoxia (lack of oxygen)5,6. Nevertheless, the best understood and by far the most studied physiological function of KATP channels is their involvement in the regulation of insulin secretion.

Blood sugar levels are kept nearly constant whether you are indulging in your favorite dessert or running a marathon. A rise in the plasma glucose levels stimulates secretion of insulin, the only glucose-lowering hormone, from pancreatic β-cells. Glucose enters the β-cell through the glucose transporter GLUT2 where is rapidly phosphorylated to glucose 6-phosphate and enters the glycolisis cycle. The end point is increased cytoplasmic ATP levels, which then close the β-cell KATP channels. The KATP channels, which in β-cells are composed of Kir6.2/SUR1 subunits, are the main channel responsible for maintaining the cell membrane potential and therefore closure of these channels leads to membrane depolarization and concomitant activation of voltage-dependent Ca2+ channels. Influx of Ca2+ through voltage-dependent channels (mainly L-type channels) stimulates secretion of insulin via insulin-containing secretory vesicles (see Figure 2)7,8. The secreted insulin stimulates increased glucose uptake from different organs and thus brings the blood glucose levels back to baseline.

In type II diabetes insulin secretion can no longer bring glucose levels back to normal, as there is increased insulin resistance in the target organs due to obesity, aging, etc.

The critical role that KATP channels play in coupling glucose sensing with insulin secretion is exemplified by the fact that sulfonylureas (and their derivatives) such as glibenclamide remain in use for the treatment of type II diabetes. As mentioned above, the sulfonylureas close KATP channels and thus enhance insulin secretion which contributes to the lowering of glucose levels8.

The role of KATP channels in the regulation of insulin secretion is again illustrated by the fact that mutations in both Kir6.2 and SUR1 subunits cause a severe genetic disease known as persistent hyperinsulinemia. The mutations cause loss of function of the KATP channel and therefore more depolarized β-cell membrane potentials with subsequent rise in insulin secretion even at low glucose levels9,10.

Figure 1. The KATP Channel Components
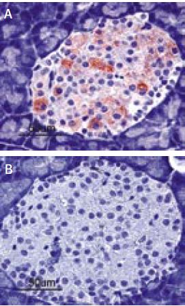
Kir6.2 expression in rat pancreas
Staining of rat pancreas with Anti-Kir6.2 Antibody (#APC-020). (A) Strong granular staining in a number of cells within the Islets of Langerhans is readily detected (red). (B) The negative control slide shows no staining.
Figure 2. KATP channels mediate glucose-induced insulin secretion
Glucose enters the pancreatic β-cell through the GLUT2 transporter. The glucose is converted to ATP by the glycolysis pathway. Elevated cytoplasmic ATP levels close the KATP channels generating a membrane depolarization, which in turn opens voltage-dependent Ca2+ channels. Insulin is then secreted from cytoplasmic Ca2+-dependent secretory vesicles.
Western blotting of rat heart membranes:
1. Anti-Kir6.1 (KCNJ8) Antibody (#APC-105) (1:200).2. Anti-Kir6.1 (KCNJ8) Antibody (1:200), preincubated with the negative control antigen.
Western blotting of rat cortex lysate:
1. Anti-Kir6.1 (KCNJ8) Antibody (#APC-105) (1:200).2. Anti-Kir6.1 (KCNJ8) Antibody (1:200), preincubated with the negative control antigen.

References

  1. Baukrowitz, T. et al. (2000) Eur. J. Biochem. 267, 5842.
  2. Yokoshiki, H. et al. (1998) Am. J. Physiol. 274, C25.
  3. Vanoye, C.G. et al. (2002) J. Biol. Chem. 277, 23260.
  4. Zerangue, N. et al. (1999) Neuron 22, 537.
  5. Gross, G.J. et al. (2003) Am. J. Physiol. Heart Circ. Physiol. 285, H921.
  6. Ballanyi, K. (2004) J. Exp. Biol. 207, 3201.
  7. Nichols, C.G. et al. (2002) Am. J. Physiol. Endocrinol. Metab. 283, E403.
  8. Doyle, M.E. et al. (2003) Pharmacol. Rev. 55, 105.
  9. Thomas, P.M. et al. (1995) Science 268, 426.
  10. Nestorowicz, A. et al. (1998) Hum. Mol. Genet. 7, 1119.