Immunohistochemistry (IHC) Protocols for Paraffin-embedded Sections
A clear protocol for using paraffin-embedded section with either DAB or fluorescence.
Immunohistochemistry (IHC) protocols allow you to detect a specific protein in tissue sections. Here, we show you how to perform IHC using paraffin-embedded sections. Typically, these will be formalin-fixed paraffin-embedded (FFPE) section. Unlike using a cryostat on frozen section, paraffin-embedded sections can sometimes better preserve tissue morphology. Paraffin sections also let you work with larger tissues and storage is more convenient.
Here you’ll find protocols for staining with diaminobenzidine (DAB) or a secondary antibody conjugated to a fluorophore, such as an ATTO-fluor.
If you have any problems, please see our extensive troubleshooting guides.
De-paraffinization and clear with alcohol
Immerse your slides in the following solutions – make sure there is enough liquid.
Note: the ethanol solution should be replaced once a week.- 10–15 minutes in xylene (work in the hood)
- 5–30 minutes in hood (to dry the xylene)
- 10 minutes in 100% ethanol
- 6 minutes in 90% ethanol
- 6 minutes in 70% ethanol
- 3 minutes in IHC-PBS
| IHC-PBS (pH 7.4) | ||
|---|---|---|
| Reagent | Concentration | Volume/Weight |
| Na2HPO4 | 0.2 M | 80 ml |
| NaH2PO4 | 0.2 M | 16 ml |
| NaCl | 8 g | |
| Double distilled water | 860 ml | |
Staining with DAB
- Prepare Quenching Solution. For every 4 slides use 1 ml of solution.
| Quenching Solution | |||||||
|---|---|---|---|---|---|---|---|
| Reagent | Volume required | ||||||
| 1,000 µl | 2 ml | 3 ml | 4 ml | 8 ml | 10 ml | 40 ml | |
| 0.2M Na2HPO4 | 375 | 750 | 1,125 | 1,500 | 3,000 | 3,750 | 15,000 |
| 0.2M NaH2PO4 | 125 | 250 | 375 | 500 | 1,000 | 1,250 | 5,000 |
| Methanol | 200 | 400 | 600 | 800 | 1,600 | 2,000 | 8,000 |
| 30% Triton X-100 | 7 | 14 | 21 | 28 | 56 | 70 | 270 |
| 30% H202 | 50 | 100 | 150 | 200 | 400 | 500 | 2,000 |
| Double distilled water | 250 | 500 | 750 | 1000 | 2,000 | 2,500 | 10,000 |
- Pipette 240 µl of Quenching Solution onto each slide and smear with parafilm. Avoid creating air bubbles.
- Incubate for 25 minutes at room temperature (RT).
- Wash slides twice with IHC-PBS.
Antigen Retrieval
- Place the slides in a cup containing the Antigen Retrieval Solution. This solution will depend on the antigen retrieval method you choose. We recommend you try both heat-induced epitope retrieval (HIER) methods: TRIS-EDTA (10mM Tris + 20mM EDTA in double distilled water (DDW), pH 9) and citrate buffer (x10, pH 6) to see what works best for you. Alternatively, you can use an enzymatic approach like trypsin, but be advised these is more aggressive than HIER.
- For HIER approaches add 0.5 L DDW to the pressure cooker and place the cup with slides in it – do not cover. Close the lid of the pressure cooker set your program and press start.
The default program: 125°C for 30 seconds, 95°C for 10 seconds.
Note: If you choose to use trypsin to retrieve the epitope, then immediately after quenching add 190 µl of 0.1% Trypsin + CaCl2 (add to 1 ml of 0.1% trypsin 1 µl of 10% CaCl2) to each slide, smear with parafilm, cover the box and leave it for 25 minutes at 37°C. After that, wash twice with IHC-PBS.
Blocking
- Prepare a Blocking Solution
| Blocking Solution | ||||||
|---|---|---|---|---|---|---|
| Reagent | Volume (µl) | |||||
| IHC-PBS | 804 | 1,607 | 2,410 | 3,215 | 6,430 | 8,034 |
| 0.1% Trypsin inhibitor* | 10 | 20 | 30 | 40 | 80 | 100 |
| 30% Triton-X100 | 10 | 20 | 30 | 40 | 80 | 100 |
| 5% Tween-20 | 10 | 20 | 30 | 40 | 80 | 100 |
| Goat serum** | 40 | 80 | 120 | 160 | 320 | 400 |
| 30% BSA** | 1 | 333 | 500 | 666 | 1,330 | 1,666 |
| Total | 1 ml | 2 ml | 3 ml | 4 ml | 8 ml | 10 ml |
*ONLY add if you use trypsin.
** Use goat serum or/and BSA.
- Remove slides from the pressure cooker wash twice with IHC-PBS, wipe, and place on plastic cover.
- Add 240 µl of Blocking Solution to each slide, cover with parafilm.
- Leave for 1 hour at RT or at 4°C overnight. If incubating overnight, use a wet tissue to keep the slides moist.
Primary Antibody
- Take the slides out the fridge and let them warm up for 30 minutes.
- Wash the slides twice with IHC-PBS. Dry and place on plastic cover.
- Add 240 µl of primary antibody diluted in blocking solution 1:50–1:1000, +/- the blocking peptide control in blocking buffer to each slide. Cover with parafilm.
- Leave for 2 hours at RT or at 4°C overnight. If incubating overnight, use a wet tissue to keep the slides moist.
- Rinse the slides with IHC-PBS twice.
Staining
Here you can decide to use either DAB or a secondary conjugated to a fluorescent probe.
Staining with DAB
We use SuperPicTureTM Polymer Detection Kit (Invitrogen Cat# 87-8963). The manufacturer’s instructions are as follows:
- Pipette 200 µl of HRP Polymer to each slide smear and incubate for 10min.
- Wash with IHC-PBS for 5 minutes.
- Prepare DAB substrate (Invitrogen 00-2104). For each 1 ml of DDW add 1 drop of reagent A, mix well. Add 1 drop of reagent B and C, mix well.
- Pipette 190 µl of DAB solution to each slide smear and leave for 5 minutes or till brown color appears. Neutralize the remaining solution with dish washer powder detergent.
- Wash with DDW twice.
- Immerse in hematoxylin for 1–2 minutes.
- Wash with tap water for 2 minutes.
- Optional: Contrast stain with eosin for 1 minute and wash with tap water.
Immerse in the following solution:
- 2 minutes in IHC-PBS
- 3 minutes in 70% ethanol
- 3 minutes in 90% ethanol
- 3 minutes in 100% ethanol
- 6 minutes in xylene (work in the hood)
- Leave to dry in hood for at least 10 minutes.
- Use DPX Mountant for histology (Sigma-Aldrich) to close the slides – one drop for each slide and cover with coverslip.
- Leave to dry in the hood overnight.
- Detect by microscope.
Staining with a secondary antibody conjugated to a fluorophore
- De-paraffinize and clear with alcohol
Immerse your slides in the following solutions – make sure there is enough liquid.
Note: the ethanol solution should be replaced once a week.- 10–15 minutes in xylene (work in the hood)
- 5–30 minutes in hood (to dry the xylene)
- 10 minutes in 100% ethanol
- 6 minutes in 90% ethanol
- 6 minutes in 70% ethanol
- 3 minutes in IHC-PBS
- Do not apply Quenching Solution!
- Choose and apply your antigen retrieval technique (trypsin, Tris-EDTA, or citrate).
- Wash twice with IHC-PBS.
- Block with 240 µl Blocking Solution to each slide, cover with parafilm and leave 1 hour at RT or at 4oC overnight. If incubating overnight, use a wet tissue to keep the slides moist.
- Take the slide out the fridge and let them warm up for 30 minutes.
- Wash the slides twice with IHC-PBS. Dry and place on plastic cover.
- Incubate with the primary antibody for 2 hours at RT or at 4oC overnight in Blocking Solution.
- Remove the parafilm and wash with IHC-PBS twice.
- Prepare your fluorophore conjugated secondary antibody in Blocking Solution and add Hoechst (1:1000) – work in a dark room.
- Add 240µl per slide smear, cover with parafilm, and leave for 1 hour at RT in the dark.
- Remove the parafilm and wash with IHC-PBS twice.
- Wipe the slides and mount with Immu-MountTM (ShandonTM).
- Detect with a fluorescent microscope.
Example Data
Figure 1: Expression of AQP2 in rat kidney. Immunohistochemical staining of rat kidney paraffin embedded section showing the inner medulla using Anti-Aquaporin 2 Antibody (#AQP-002), (1:100). Intense stain (brown color) is present in collecting ducts but not in thin segments of the loop of Henle. Hematoxylin is used as the counterstain.
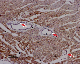
Figure 2: Expression of RyR2 in rat cardiac muscle. Immunohistochemical staining of paraffin-embedded sections of rat myocardium using Anti-Ryanodine Receptor 2 Antibody (#ARR-002), (1:50). Staining is specific for cardiomyocytes while smooth muscles cells in the artery walls are negative (red arrows). Hematoxylin is used as the counterstain.
Figure 3: Expression of OX1R in rat colon. Immunohistochemical staining of paraffin-embedded longitudinal section of rat colon showing mucosa (M), submucosa (SM), and muscularis externa (ME) using Anti-Orexin Receptor 1 Antibody (#AOR-001), (1:100). Note that the stain (red-brown color) is highly specific for absorptive cells in the superior third of the intestinal glands. Immunolabeling was detected using DAB as the chromogen and hematoxylin as the counterstain.
Figure 4: Expression of SERCA1 in rat skeletal muscle. Immunohistochemical staining of rat skeletal muscle paraffin-embedded sections using Anti-SERCA1 Antibody (#ACP-011), followed by goat anti-rabbit-AlexaFluor-594 secondary antibody. A. SERCA1 labeling appears in the muscle fibers, in a pattern that could indicate the location of the sarcoplasmic reticulum. The endomysium, surrounding muscle fibers, is not stained. B. Nuclear staining using DAPI as the counterstain. C. Merged image of A and B.



