Overview
- Peptide (C)DWNQTAYGYPDPK, corresponding to amino acid residues 299-311 of mouse Choline transporter (Accession Q8BGY9). 4th extracellular loop.

Western blot analysis of human SH-5YSY neuroblastoma cell lysate (lanes 1 and 4), rat (lanes 2 and 5) and mouse (lanes 3 and 6) brain lysates:1-3. Anti-Choline Transporter (SLC5A7) (extracellular) Antibody (#ACT-001), (1:200).
4-6. Anti-Choline Transporter (SLC5A7) (extracellular) Antibody, preincubated with Choline Transporter/SLC5A7 (extracellular) Blocking Peptide (#BLP-CT001).
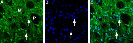
Expression of Choline transporter in rat striatumImmunohistochemical staining of rat frozen brain sections using Anti-Choline Transporter (SLC5A7) (extracellular) Antibody (#ACT-001) (1:200). A. CHT expression (green) is detected in the matrix (M) but not in the patches (P). B. DAPI (blue) staining provides general cellular staining. C. merge of A and B shows that CHT appears in a subset of striatal neurons (arrows).
Expression of Choline transporter in rat PC12 cellsCell surface detection of CHT in live intact rat pheochromocytoma PC12 cells. A. Cells were stained with Anti-Choline Transporter (SLC5A7) (extracellular) Antibody (#ACT-001), (1:100), followed by goat anti-rabbit-AlexaFluor-594 secondary antibody (red). B. Live view of the cells. C. Merge of the two images.
- Ribeiro, F.M. et al. (2006) J. neurochem. 97, 1.
- Okuda, T. and Haga, T. (2003) Neurochem. Res. 28, 483.
- Apparsundaram, S. et al. (2000) Biochem. Biophys. Res. Commun. 276, 862.
- Ferguson, S.M. and Blakely, R.S. (2004) Mol. Intervent. 4, 22.
- Simon, J.R. and Kuhar, M.G. (1975) Nature 255, 162.
- Misawa, H. et al. (2001) Neuroscience 105, 87.
In cholinergic neurons, acetylcholine is synthesized from choline and acetyl-coenzyme A (acetyl-CoA). Following depolarization, acetylcholine is released to the synaptic cleft via synaptic vesicles and activates muscarinic and nicotinic receptors located on postsynaptic membranes1,2. Acetylcholine is then rapidly hydrolyzed into choline and acetate. Since choline is not synthesized de novo and thereby only made available through diet, choline is recycled back into the cells in order to regenerate acetylcholine. For this purpose, choline is taken up by the high affinity choline transporter (CHT)1,2.
CHT has thirteen transmembrane domains, an extracellular N-terminus and an intracellular C-terminus3,4. CHT belongs to the Na+-dependent glucose transporter family (SLC5). The activity of the transporter can be confirmed by its sensitivity to hemicholimium-3 (HC-3) which inhibits the transport of choline with a Ki of 10-100 nM1. The activity of CHT reflects that of neurons1,5 i.e. increased CHT activity indicates an increase in neuronal activity. The increase in the activity of the transporter is due to the increase in the number of transporters and not due to the increase in activity per se. In addition CHT activity is also regulated by second messengers. Phosphorylation of the transporter also seems to determine the activity as it has many consensus phosphorylation sites present in the C-terminal1,2.
Expression studies reveal that CHT is expressed solely in cholinergic neurons making the transporter a useful marker for detecting these types of neurons6.
Application key:
Species reactivity key:
Alomone Labs is pleased to offer a highly specific antibody directed against an epitope of mouse CHT. Anti-Choline Transporter (SLC5A7) (extracellular) Antibody (#ACT-001) can be used in western blot, immunohistochemistry and immunocytochemistry applications. It has been designed to recognize CHT from rat, mouse and human samples.
Applications
Citations
- Human Blood Mononuclear Cells:
Koshy Cherian, A. et al. (2017) Neurochem. Int. 108, 410