Overview
- Peptide CEEIPGRWITRSTPPE corresponding to amino acid residues 188-203 of human p75NTR (Accession P08138). Extracellular, stalk domain.

Immunolocalization of p75NTR and TrkA in rat dorsal root ganglionImmunohistochemical staining of perfusion-fixed frozen rat dorsal root ganglia (DRG) sections using Anti-p75 NGF Receptor (extracellular)-ATTO Fluor-488 Antibody (#ANT-007-AG), (1:60) and Anti-TrkA (extracellular)-ATTO Fluor-633 Antibody (#ANT-018-FR), (1:60). A. Sections were labeled with Anti-p75 NGF Receptor (extracellular)-ATTO Fluor-488 Antibody (green). B. The same section was stained with Anti-TrkA (extracellular)-ATTO Fluor-633 Antibody (purple). C. Merge of the two images suggests extensive co-localization (arrow points at an example) of TrkA and p75NTR receptors in rat dorsal root ganglion. Cell nuclei were stained with DAPI (blue).
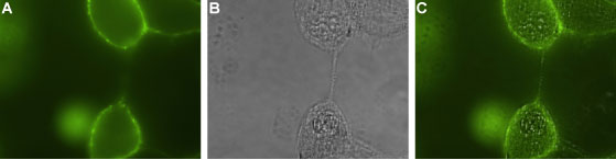
Expression of p75NTR in human A875 melanoma cellsCell surface detection of p75NTR in live intact human A875 melanoma cells. A. Cells were stained with Anti-p75 NGF Receptor (extracellular)-ATTO Fluor-488 Antibody (#ANT-007-AG), (1:50), (green). B. Live image of the cells. C. Merge of the two images.
- Hempstead, B.L. (2002) Curr. Opin. Neurobiol. 12, 260.
- Chao, M.V. (2003) Nat. Rev. Neurosci. 4, 299.
- Barker, P.A. (2004) Neuron 42, 529.
- Dechant, G. and Barde, Y.A. (2002) Nat. Neurosci. 5, 1131.
The p75 neurotrophin receptor (p75NTR) is a member of the tumor necrosis factor (TNF) receptor superfamily. Like all members of this superfamily, p75NTR is a type I transmembrane protein with tandem cysteine-rich domains in its extracellular portion, as well as an intracellular death domain. p75NTR binds to its ligands as a homodimer but can also form heterodimers with other receptors such as TrkA, TrkB, TrkC, Nogo receptor, and sortilin. The precise multimeric receptor complex formed between p75NTR and the other receptors determine the ligand being recognized (see below) and the biological response to its binding1-3.
As its name implies, p75NTR binds to all the neurotrophins (NTR) (NGF, BDNF, NT-3, and NT-4) with similar nanomolar affinities. Co-expression of p75NTR with the Trk receptors enhances its ability to bind and respond to the specific neurotrophin and induces cell survival. On the other hand, it has recently been demonstrated that p75NTR binds with high affinity to the unprocessed form of NGF (proNGF), probably as a complex with sortilin, leading to cell death by apoptosis1-3. Finally, a multimeric complex of p75NTR and Nogo receptor binds to myelin proteins such as Nogo-66, MAG, and OmgP, resulting in inhibition of axonal growth4.
Application key:
Species reactivity key:
Anti-p75 NGF Receptor (extracellular) Antibody (#ANT-007) is a highly specific antibody directed against an extracellular epitope of the human protein. The antibody can be used in western blot, immunoprecipitation, immunohistochemistry, live cell imaging and indirect flow cytometry applications. It has been designed to recognize p75NTR from human, mouse and rat samples.
Anti-p75 NGF Receptor (extracellular)-ATTO Fluor-488 Antibody (#ANT-007-AG) is directly labeled with an ATTO-488 fluorescent dye. ATTO dyes are characterized by strong absorption (high extinction coefficient), high fluorescence quantum yield, and high photo-stability. The ATTO-488 label is analogous to the well known dye fluorescein isothiocyanate (FITC) and can be used with filters typically used to detect FITC. Anti-p75 NGF Receptor (extracellular)-ATTO Fluor-488 Antibody is especially suited for experiments requiring simultaneous labeling of different markers.
