Overview
- Peptide (C)KDIGQGDASNLHQK, corresponding to amino acid residues 222-235 of rat LAT1 (Accession Q63016). 3rd intracellular loop.

Western blot analysis of rat placenta lysate (lanes 1 and 4), mouse testes lysate (lanes 2 and 5) and rat skeletal muscle membrane (lanes 3 and 6):1-3. Anti-LAT1 (SLC7A5) Antibody (#ANT-105), (1:200).
4-6. Anti-LAT1 (SLC7A5) Antibody, preincubated with LAT1/SLC7A5 Blocking Peptide (#BLP-NT105).
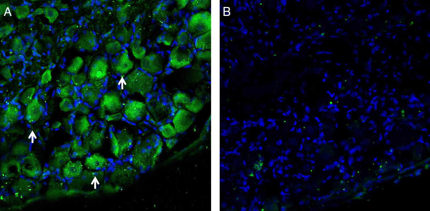
Expression of LAT1/SLC7A5 in rat dorsal root ganglion.Immunohistochemical staining of perfusion-fixed frozen rat dorsal root ganglion (DRG) sections with Anti-LAT1 (SLC7A5) Antibody (#ANT-105), (1:200), followed by goat anti-rabbit-AlexaFluor-488. A. LAT1 immunoreactivity (green) appeared in neuron profiles (arrows). B. Pre-incubation of the antibody with LAT1 (SLC7A5) Blocking Peptide (#BLP-NT105), suppressed staining. Cell nuclei are stained with DAPI (blue).
- Kobayashi, N. et al. (2018) Sci. Rep. 8, 2785.
- Hayase, S. et al. (2017) Oncol. Lett. 14, 7410.
- Wagner, C.A. et al. (2001) Am. J. Physiol. 281, 1077.
L-type amino acid transporter 1 (LAT1) is responsible for mediating the transport of amino acids into highly proliferative cells. LAT1 is Na+-independent amino acid transporter that transports branched-chain and aromatic neutral amino acids including isoleucine, histidine, leucine, methionine, phenylalanine, tryptophan, tyrosine, methionine and valine. LAT1 forms heterodimeric complexes with the 4F2 cell-surface antigen heavy chain (4F2hc) via a disulfide bond 1,2. Structurally, LAT1 has 12 membrane spanning domains with intracellular N- and C-terminal tails3.
LAT1 mRNA expression can be found in various tissues such as the brain, spleen, placenta, and testis. High protein levels are particularly detected in pancreatic islet. In cells, LAT1 is localized to the basolateral membrane of polarized epithelia1,2.
Studies show that upregulation in LAT1 protein is linked and associated with cancer cell proliferation and is highly expressed in tumor cell lines including oral squamous cell carcinoma, esophageal carcinoma, gastric cancer, prostate cancer, non-small cell lung carcinoma, biliary tract cancer, pancreatic cancer, and breast cancer2.
Application key:
Species reactivity key:
Anti-LAT1 (SLC7A5) Antibody (#ANT-105) is a highly specific antibody directed against an epitope of the rat protein. The antibody can be used in western blot analysis. It has been designed to recognize SLC7A5 from rat and mouse samples. The antibody is unlikely to recognize the protein from human samples.