Overview
- Highly purified 2.5 S mouse NGF (Accession P01139).
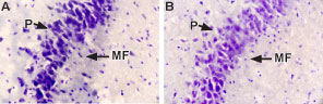
Expression of NGF in rat brainImmunohistochemical staining of rat hippocampal mossy fiber terminal zone using Anti-NGF Antibody (#AN-240). A. The mossy fiber terminal zone (MF) is seen as the gray area (arrow) adjacent to the pyramidal layer (P). The pyramidal layer is visualized using cresyl violet (purple-labeled cells). B. The antibody was pre-incubated with the immunogen. The lack of staining in the MF zone (arrow) demonstrates specificity.
- Roux, P. and Barker P.A. (2002) Prog. Neurobiol. 67, 203.
- Levi-Montalcini, R. (1966) Harvey Lect. 60, 217.
- Farinas, I. et al. (1998) Neuron 21, 325.
- Levi-Montalcini, R. et al. (1996) Trends Neurosci. 19, 514.
- Bradshaw, R.A. (1978) Ann. Rev. Biochem 47, 191.
- Bocchini, V. and Angeletti, P.U. (1969) Proc. Natl. Acad. Sci. U.S.A. 64, 787.
- McDonald, N.Q. et al. (1991) Nature 354, 411.
- Huang, E.J. and Reichardt, L.F. (2001) Annu. Rev. Neurosci. 24, 677.
- Freund, V. and Frossard, N. (1994) Prog. Brain Res. 146, 335.
- Raychaudhuri, S.P. and Raychaudhuri, S.K. (2004) Prog. Brain Res. 146, 433.
- Kawamoto, K. and Matsuda, H. (2004) Prog. Brain. Res. 146, 369.
- Teng, K.K. and Hempstead, B.L. (2004) Cell Mol. Life Sci. 61, 35.
The neurotrophins ("neuro" means nerve and "trophe" means nutrient) are a family of soluble, basic growth factors which regulate neuronal development, maintenance, survival and death in the CNS and the PNS.1 NGF, the first member of the family to be discovered, was originally purified as a factor able to support survival of sympathetic and sensory spinal neurons in culture.2 It is synthesized and secreted by sympathetic and sensory target organs and provides trophic support to neurons as they reach their final target.3 Neurotrophin secretion also increases in the nervous system following injury. Schwann cells, fibroblasts, and activated mast cells normally synthesize NGF constitutively, however direct trauma and induced cytokines combine to increase neurotrophin production in these cells after injury.4
NGF is purified in three forms: the 7S, 2.5S and β. The 7S, 130 kDa, form occurs naturally in mouse submaxillary glands, and is a multimeric protein composed of two α, one β and two γ subunits. The name is derived from its sedimentation co-efficient, 7S. The biologically active subunit is the β, which is a 26 kDa dimer composed of two identical 120 amino acid chains held together by hydrophobic interactions.5 The 2.5S form is 9 amino acids shorter than the β form, because of proteolysis that occurs during the purification process.6 The structural hallmark of all the neurotrophins is the characteristic arrangement of the disulfide bridges known as the cysteine knot, which has been found in other growth factors such as PDGF.7 There is a 95.8% homology between the rat and mouse forms, and a 85% homology between the human and mouse.
NGF has been shown to regulate neuronal survival, development function and plasticity.8 Recently, involvement of NGF in processes not involving neuronal cells has been shown, such as asthma,9 psoriasis10 and wound healing.11
The biological effects of NGF are mediated by two receptors:
TrkA, which is specific for NGF, and p75, which binds all the neurotrophins.12
Application key:
Species reactivity key:
Alomone Labs is pleased to offer a highly specific antibody directed against mouse NGF. Anti-NGF Antibody (#AN-240) can be used in western blot and immunohistochemical applications. It has been designed to recognize NGF from mouse, rat and human samples. The antibody also recognizes proNGF.
Related products for neutralizing NGF activity:
Mouse NGF/proNGF Neutralizing Antibody (#ALM-006) can be used in indirect ELISA and neutralization assays to block the biological effects of both NGF and proNGF.
Applications
Citations
- Mouse retina lysate.
Mysona, B.A. et al. (2013) Diabetologia 56, 2329.
- Matsuda, F. et al. (2011) Acta Physiol. 201, 275.
- Ali, T.K. et al. (2010) Diabetologia 54, 657.
- Lazo, O.M. et al. (2010) Mol. Neurodeg. 5, 5.
- Lecht, S. et al. (2010) Mol. Cell. Biochem. 339, 201.
- Schoenmann, Z. et al. (2010) J. Neurosci. 30, 6375.
- Takano, N. et al. (2007) Br. J. Dermatol. 156, 241.
- da Cruz, T.M. et al. (2005) Gene Ther. 12, 1242.
