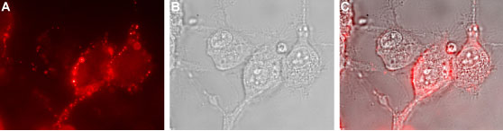
Anti-NKCC1 (SLC12A2) (extracellular) Antibody (#ANT-071) is a highly specific antibody directed against an epitope of the human protein. The antibody can be used in western blot, immunohistochemistry, live cell imaging, and immunocytochemistry applications. It has been designed to recognize NKCC1 from rat, mouse, and human samples.