Overview
- Peptide (C)GKNIYRKQSGSPTLD corresponding to amino acid residues 691 - 705 of mouse SLC6A15 (Accession Q8BG16). Intracellular, C-terminus.

Western blot analysis of mouse brain membranes (lanes 1 and 3) and rat brain membranes (lanes 2 and 4):1-2. Anti-SLC6A15 Antibody (#AGT-016), (1:200). 3-4. Anti-SLC6A15 Antibody, preincubated with SLC6A15 Blocking Peptide (BLP-GT016).
Western blot analysis of human SH-SY5Y neuroblastoma cell line lysate:1. Anti-SLC6A15 Antibody (#AGT-016), (1:200). 2. Anti-SLC6A15 Antibody, preincubated with SLC6A15 Blocking Peptide (BLP-GT016).
Expression of SLC6A15 in mouse hippocampus.Immunohistochemical staining of perfusion-fixed frozen mouse brain sections with Anti-SLC6A15 Antibody (#AGT-016), (1:300), followed by goat anti-rabbit-AlexaFluor-488. A. Staining in the mouse hippocampal CA3 region, showed SLC6A15 immunoreactivity (green) in neuronal profiles in the pyramidal layer (P, horizontal arrows). B. Pre-incubation of the antibody with SLC6A15 Blocking Peptide (BLP-GT016), suppressed staining. Cell nuclei are stained with DAPI (blue).
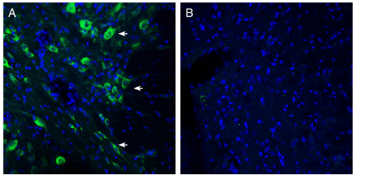
Expression of SLC6A15 in rat dorsal Raphe nucleus.Immunohistochemical staining of perfusion-fixed frozen rat brain sections with Anti-SLC6A15 Antibody (#AGT-016), (1:300), followed by goat anti-rabbit-AlexaFluor-488. A. SLC6A15 immunoreactivity (green) appears in neuronal profiles (arrows). B. Pre-incubation of the antibody with SLC6A15 Blocking Peptide (BLP-GT016), suppressed staining. Cell nuclei are stained with DAPI (blue).
- Drgonova et al. (2013) PlosOne 8, e68245.
- Zeisel et al. (2015), Science 347, 1138.
- Broer et al. (2006), Biochem J. 393, 421.
- Santarelli et al. (2015), J Psychiatr Res. 68, 261.
Sodium-dependent neutral amino acid transporter B(0)AT2, encoded by SLC6A15 gene, is a member of SLC6 neuro transporters family 1.
This transporter mediates sodium-dependent, electrogenic transport of leucine and other branched chain amino acids (BCAA). It was found to be expressed in a small percentage of neurons in the hippocampus, the amygdala and other limbic regions as well as in the olfactory bulb, the cortex and the cerebellum 2. Its structure is composed of twelve transmembrane domains, and the ligand-binding site is conserved between mammals and bacteria 3.
Since it is active in regulation of the cellular levels of leucine and other BCAA, its activity is related to food intake, body weight and other obesity-related phenotypes 1.
In addition to that, BCAA levels and regulated uptake is important for the proper morphology and functions of different brain areas and indeed, one single nucleotide polymorphism (SNP) in SLC6A15 was found to significantly increase the risk of suffering from depression and this polymorphism was also found to affect hippocampal morphology, integrity, and hippocampus-dependent memory 4.
These findings emphasize SLC6A15 as pivotal risk factor for vulnerability to psychiatric diseases and makes it an appealing target for drug design.
Application key:
Species reactivity key:
Anti-SLC6A15 Antibody (#AGT-016) is a highly specific antibody directed against an intracellular epitope of the mouse SLC6A15. The antibody can be used in western blot and immunohistochemistry. It has been designed to recognize SLC6A15 from mouse, rat and human samples.