Overview
- Peptide (C)EDGKPLEVPEKK, corresponding to amino acid residues 45-56 of rat VGLUT2 (Accession Q9JI12). Cytoplasmic, N-terminus.

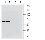
Western blot analysis of rat brain membranes (lanes 1 and 3) and mouse brain membranes (lanes 2 and 4):1-2. Guinea Pig Anti-VGLUT2 Antibody (#AGC-036-GP), (1:200).
3-4. Guinea Pig Anti-VGLUT2 Antibody, preincubated with VGLUT2 Blocking Peptide (BLP-GC036).
Expression of VGLUT2 in rat parietal cortex.Immunohistochemical staining of perfusion-fixed frozen rat brain sections with Guinea Pig Anti-VGLUT2 Antibody (#AGC-036-GP), (1:200), followed by goat anti-Guinea Pig-AlexaFluor-594. A. VGLUT2 immunoreactivity (red) appears in pyramidal neuronal profiles (horizontal arrows). B. Pre-incubation of the antibody with VGLUT2 Blocking Peptide (BLP-GC036), suppressed staining. Cell nuclei are stained with DAPI (blue).
- Gong, J. et al. (2006) Brain Res. 1082, 73.
- Fremeau, R.T. et al. (2004) Science 304, 1815.
- Takamori, S. et al. (2000) Nature 407, 189.
- Maycox, P.R. et al. (1988) J. Biol. Chem. 263, 15423.
- Gras, C. et al. (2002) J. Neurosci. 22, 5442.
- Moechars, D. et al. (2006) J. Neurosci. 26, 12055.
Central nervous system neurons have traditionally been thought to express exclusively membrane transporters and/or vesicular transporters for their transmitter. Three vesicular glutamate transporters (VGLUTs) have been cloned: BNPI/VGLUT1 (a brain-specific sodium dependent inorganic phosphate (Pi) transporter), and its homologs DNPI/VGLUT2 (differentiation-associated sodium-dependent Pi transporter) and VGLUT31. These transporters mediate glutamate uptake inside presynaptic vesicles and are anatomical and functional markers of glutamatergic excitatory transmission2.
BNPI/DNPI encodes a membrane protein with 6-8 putative transmembrane domains which exhibits weak similarities to a kidney Na+-dependent inorganic phosphate co-transporter3. The transporters use a membrane potential gradient set by the vesicular H+-ATPase for glutamate uptake4. VGLUT1-3 are very similar in structure and function, but are used by different neuronal populations. VGLUT1 and VGLUT2 are expressed by the cortical and subcortical neurons respectively. VGLUT3 is expressed by non-glutamatergic neurons5. VGLUT2 is expressed in the thalamus, brainstem, and deep cerebellar nuclei2. A Recent study has shown that targeted deletion of VGLUT2 in mice causes perinatal lethality and a 95% reduction in evoked glutamatergic responses in thalamic neurons, although hippocampal synapses function normally. Behavioral analysis of heterozygous VGLUT2 mice showed discrete behavioral phenotypes that suggest a deficit in thalamic processing6.
Application key:
Species reactivity key:
Guinea Pig Anti-VGLUT2 Antibody (#AGC-036-GP) is a highly specific antibody directed against an epitope of rat Vesicular glutamate transporter 2. The antibody can be used in western blot analysis and immunohistochemistry applications. It has been designed to recognize VGLUT2 from rat, mouse and human samples.
The antigen used to immunize guinea pigs is the same as Anti-VGLUT2 Antibody (#AGC-036) raised in rabbit. Our line of guinea pig antibodies enables more flexibility with our products such as multiplex staining studies, immunoprecipitation and more.