Overview
Cat #: BLP-CT014
Type: Synthetic peptide
Form: Lyophilized Powder
OCTN1/SLC22A4 Blocking Peptide (#BLP-CT014) is the original antigen used for immunization during Anti-OCTN1/SLC22A4 Antibody (#ACT-014) generation. The blocking peptide binds and ‘blocks’ Anti-OCTN1/SLC22A4 primary antibody, this makes it a good negative reagent control to help confirm antibody specificity in western blot and immunohistochemistry applications. This control is also often called a pre-adsorption control.
Applications: wb, ihc
Application key:
WB- Western blot, IHC- Immunohistochemistry
For research purposes only, not for human use
Applications
Demonstration of Pre-adsorption control
Western blot analysis of mouse kidney lysates (lanes 1 and 3) and rat small intestine lysates (lanes 2 and 4):1-2. Anti-OCTN1/SLC22A4 Antibody (#ACT-014), (1:200).
3-4. Anti-OCTN1/SLC22A4 Antibody, preincubated with
OCTN1/SLC22A4 Antibody Blocking Peptide (BLP-CT014).
Western blot analysis of mouse brain membranes (lanes 1 and 3) and rat brain membranes (lanes 2 and 4):1-2. Anti-OCTN1/SLC22A4 Antibody (#ACT-014), (1:600).
3-4. Anti-OCTN1/SLC22A4 Antibody, preincubated with
OCTN1/SLC22A4 Antibody Blocking Peptide (BLP-CT014).
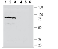
Western blot analysis of human THP-1 monocytic leukemia cell line lysates (lanes 1 and 4), mouse BV-2 microglia cell line lysates (lanes 2 and 5) and human HeLa cervix adenocarcinoma cell line lysates (lanes 3 and 6):1-3. Anti-OCTN1/SLC22A4 Antibody (#ACT-014), (1:400).
4-6. Anti-OCTN1/SLC22A4 Antibody, preincubated with
OCTN1/SLC22A4 Antibody Blocking Peptide (BLP-CT014).
Expression of OCTN1 in rat hippocampus.Immunohistochemical staining of perfusion-fixed frozen mouse brain sections with Anti-OCTN1/SLC22A4 Antibody (#ACT-014), (1:1200), followed by goat anti-rabbit-AlexaFluor-488. A. OCTN1 immunoreactivity (green) appears in neuronal profiles in the pyramidal layer (P, arrows). B. Pre-incubation of the antibody with OCTN1/SLC22A4 Antibody Blocking Peptide (BLP-CT014), suppressed staining. Cell nuclei are stained with DAPI (blue).
Properties
Sequence
- Peptide (C)EQMQKVRGFR(S)GKKS, corresponding to amino acid residues 522 - 536 of mouse OCTN1 (Accession Q9Z306).

Accession (Uniprot) Number Q9Z306
Peptide Confirmation Confirmed by amino acid analysis and mass spectrometry.
Purity >70%
Storage Before Reconstitution Lyophilized powder can be stored intact at room temperature for two weeks. For longer periods, it should be stored at -20°C.
Reconstitution 100 µl double distilled water (DDW).
Concentration After Reconstitution 0.4 mg/ml.
Storage After Reconstitution -20°C.
Antigen Preadsorption Control 1 µg peptide per 1 µg antibody.
Standard Quality Control Of Each Lot Western blot analysis.