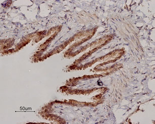
Anti-β2-Adrenergic Receptor (extracellular) Antibody (#AAR-016) is a highly specific antibody directed against an extracellular epitope of the mouse β2-adrenoceptor. The antibody can be used in western blot and immunohistochemistry applications. It has been designed to recognize β2AR from mouse, rat, and human samples.