Overview
- Peptide (C)SNVYTFRDPNKNMTFE, corresponding to amino acid residues 186-201 of human BRS3 (Accession P32247). 2nd extracellular loop.

Western blot analysis of rat brain membranes:1. Anti-Bombesin Receptor 3 (extracellular) Antibody (#ABR-003), (1:200).
2. Anti-Bombesin Receptor 3 (extracellular) Antibody, preincubated with Bombesin Receptor 3 (extracellular) Blocking Peptide (#BLP-BR003).
Western blot analysis of mouse brain lysate:1. Anti-Bombesin Receptor 3 (extracellular) Antibody (#ABR-003), (1:200).
2. Anti-Bombesin Receptor 3 (extracellular) Antibody, preincubated with Bombesin Receptor 3 (extracellular) Blocking Peptide (#BLP-BR003).
Western blot analysis of human malignant melanoma cell line Malme-3M (lanes 1 and 3) and human normal skin fibroblast cell line Malme-3 (lanes 2 and 4):1,2. Anti-Bombesin Receptor 3 (extracellular) Antibody (#ABR-003), (1:500).
3,4. Anti-Bombesin Receptor 3 (extracellular) Antibody, preincubated with Bombesin Receptor 3 (extracellular) Blocking Peptide (#BLP-BR003).
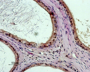
Expression of BRS3 in rat testesImmunohistochemical staining of paraffin embedded rat testes section using Anti-Bombesin Receptor 3 (extracellular) Antibody (#ABR-003), (1:50). The area of the efferent ductules near the epididymis is shown. Intense stain (brown) is specific for the pseudostratified epithelium of the efferent ductules. DAB is used for the color reaction. H&E is used as the counterstain.
- Ohki-Hamazaki, H. et al. (2005) Int. J. Dev. Biol. 49, 293.
- Fathi, Z. et al. (1993) J. Biol. Chem. 268, 5979.
- Ryan, R.R. et al. (1998) J Pharmacol Exp Ther. 287, 366.
- Ohki-Hamazaki, H. et al. (1997) Nature 390, 165.
- Nakamichi, Y. et al. (2004) Biochem Biophys Res Commun. 318, 698.
- Reubi, J.C. (2003) Endocr. Rev. 24, 389.
Bombesin receptor 3 (BB3) is a member of a family of receptors that binds the 14 amino acid peptide bombesin. Bombesin was first isolated from frog skin and it was later established that mammalians express endogenous bombesin like peptides such as gastrin-releasing peptide (GRP) a 27 amino acid homologue and neuromedin B (NMB) a 10 amino acid homologue.1
BB1 is the preferred receptor for NMB while BB2 is the preferred receptor for GRP.
BB3 was the third member of the bombesin receptors family to be cloned based in its sequence similarity to BB1 and BB2.2 The affinity of BB3 for bombesin is lower than that of the BB1 and BB2 receptors as is its affinity for NMB and GRP. This suggests that the mammalian endogenous ligand for the BB3 receptor remains to be identified.
All three bombesin receptors are members of the 7-transmembrane domain, G protein-coupled receptor (GPCR) superfamily. BB3 is coupled to a Gq/11 protein that activates phospholipase C (PLC) and leads to production of inositol 1,4,5-trisphosphate (InsP3), intracellular Ca2+ mobilization and cell growth.3
The physiological function of the BB3 receptor is not clear. However, studies with BB3 receptor deficient mice have shown that the mice develop mild obesity associated with hypertension and reduced metabolic rate.4,5
Finally, BB3 receptor expression has been identified in several human tumors most notably lung. BB3 is therefore considered a potential target for the development of both diagnostics and anti-cancer therapies.6
Application key:
Species reactivity key:
Alomone Labs is pleased to present a highly specific antibody directed against a well conserved epitope of the human BB3 receptor. Anti-Bombesin Receptor 3 (extracellular) Antibody (#ABR-003) can be used in western blot analysis, as well as immunohistochemical and flow cytometry applications, and will recognize BRS3 from rat and mouse samples.
