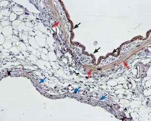
Anti-Endothelin Receptor B Antibody (#AER-002) is a highly specific antibody directed against an epitope of rat ET-B. The antibody can be used in western blot, immunocytochemistry, immunohistochemistry, and indirect flow cytometry applications. It has been designed to recognize ET-B from rat, mouse, and human samples.