Overview
- Peptide (C)REDK(S)ETDFYNVTWFK, corresponding to amino acid residues 176 - 191 of mouse H1 Histamine Receptor (Accession P70174). 2nd extracellular loop.

Western blot analysis of mouse brain membranes (lanes 1 and 5), rat brain membranes (lanes 2 and 6), rat lung membranes (lanes 3 and 7) and mouse lung membranes (lanes 4 and 8):1-4. Anti- Histamine H1 Receptor/HRH1 (extracellular) Antibody (#AHR-006), (1:200).
5-8. Anti-Histamine H1 Receptor/HRH1 (extracellular) Antibody, preincubated with Histamine H1 Receptor/HRH1 (extracellular) Blocking Peptide (#BLP-HR006).
Western blot analysis of human Jurkat T-cell leukemia cell line lysate (lanes 1 and 4), human U-87 MG glioblastoma cell line lysate (lanes 2 and 5) and human SH-SY5Y neuroblastoma cell line lysate (lanes 3 and 6):1-3. Anti- Histamine H1 Receptor/HRH1 Antibody (extracellular) (#AHR-006), (1:200).
4-6. Anti-Histamine H1 Receptor/HRH1 (extracellular) Antibody, preincubated with Histamine H1 Receptor/HRH1 (extracellular) Blocking Peptide (#BLP-HR006).
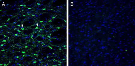
Expression of Histamine H1 Receptor in mouse substantia nigraImmunohistochemical staining of perfusion-fixed frozen mouse brain sections with Anti-Histamine H1 Receptor/HRH1 Antibody (extracellular) (#AHR-006), (1:300), followed by goat anti-rabbit-AlexaFluor-488. A. Histamine H1 Receptor immunoreactivity (green) appears in neuronal profiles (vertical arrows). B. Pre-incubation of the antibody with Histamine H1 Receptor (HRH1) (extracellular) Blocking Peptide (#BLP-HR006), suppresses staining. Cell nuclei are stained with DAPI (blue).
- Shiroishi, M. and Kobayashi, T. (2016) Handb. Exp. Pharmacol. 241, 21.
- Hill, S.J. (1990) Pharmacol. Rev. 42, 45.
- Obara, I. et al. (2020) Br. J. Pharmacol. 177, 580.
Histamine, acts via distinct histamine H1, H2, H3, and H4 receptors, and regulates various physiological and pathological processes. Hence the activity of Histamine receptors is very crucial. They are members of G-protein coupled receptors superfamily. Thus, have seven transmembrane domains, extracellular N-terminal tail and a cytoplasmic C-terminus1.
H1 receptor is excitatory and couples to Gq‐type proteins, activating a signaling cascade which eventually leads to an increased cellular concentration of Ca2+ 3.
H1 receptor is implicated in type I hypersensitivity allergic reactions caused by numerous allergens1. An allergic reaction occurs when allergens activate mast cells that release histamine, the released histamine binds to H1R and this causes an activation of a cascade that leads to vasodilation and vascular hyper-permeability, resulting in allergic inflammation.
H1R is expressed in various tissues throughout body, including the airway, vascular smooth muscle, and brain2. H1R expressed in the brain plays an important role in the regulation of sleep-arousal cycle and memory by binding histamine where it acts as a neurotransmitter1.
Application key:
Species reactivity key:
Anti-Histamine H1 Receptor/HRH1 (extracellular) Antibody (#AHR-006) is a highly specific antibody directed against an epitope of mouse H1R. The antibody can be used in western blot and live cell flow cytometry applications. It has been designed to recognize H1R from rat, mouse, and human samples.
