Overview
- Peptide (C)EERLANFSRGHNLSRE, corresponding to amino acid residues 54-69 of rat KCNK13 (Accession Q9ERS0). 1st extracellular loop.

Western blot analysis of rat kidney membranes:1. Anti-KCNK13 (THIK-1) (extracellular) Antibody (#APC-121), (1:200).
2. Anti-KCNK13 (THIK-1) (extracellular) Antibody, preincubated with KCNK13/THIK-1 (extracellular) Blocking Peptide (#BLP-PC121).
Western blot analysis of mouse heart membranes:1. Anti-KCNK13 (THIK-1) (extracellular) Antibody (#APC-121) (1:200).
2. Anti-KCNK13 (THIK-1) (extracellular) Antibody, preincubated with KCNK13/THIK-1 (extracellular) Blocking Peptide (#BLP-PC121).
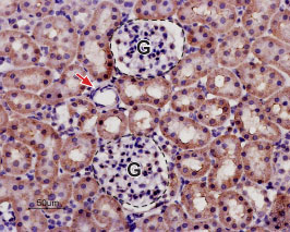
Expression of KCNK13 in rat kidneyImmunohistochemical staining in paraffin-embedded sections of rat kidney using Anti-KCNK13 (THIK-1) (extracellular) Antibody (#APC-121), (1:50). Staining (brown color) is specific for renal tubules while both glomeruli (G) and arterial walls are negative (red arrows). Following Tris-EDTA treatment for antigen retrieval, slides were incubated overnight at 4°C. Hematoxylin is used as the counterstain.
Expression of KCNK13 in mouse substantia nigra.Immunohistochemical staining of perfusion-fixed frozen mouse brain sections with Anti-KCNK13 (THIK-1) (extracellular) Antibody (#APC-121), (1:200), followed by goat anti-rabbit-Alexa-488. A. KCNK13 immunoreactivity (green) appears in neurons (arrows). B. Pre-incubation of the antibody with KCNK13 (THIK-1) (extracellular) Blocking Peptide (#BLP-PC121), suppressed staining. Cell nuclei are stained with DAPI (blue).
- Rajan, S. et al. (2001) J. Biol. Chem. 276, 7302.
- Campanucci, V.A. et al. (2005) Neuroscience 135, 1087.
KCNK13 (also named Tandem pore domain halotane inhibited K+ channel, THIK -1 or K2P13.1) is a member of the 2-pore (2P) domain K+ channels family that currently includes 16 members. These channels show little time- or voltage-dependence and are considered to be “leak” or “background” K+ channels, thereby generating background currents which help set the membrane resting potential and cell excitation.1
The K2P channels have a signature topology that includes four transmembrane domains and two pore domains with intracellular N- and C- termini. It has been proposed that the functional channel unit is a dimer.
K2P channels are regulated by diverse physical and chemical stimuli including temperature, pH, mechanical stretch, inhalation anesthetics, etc. but are insensitive to classical K+ channel blockers.
The KCNK13 channel is activated by arachidonic acid and inhibited by the volatile anesthetic halothane. The channel is relatively widely expressed in peripheral tissues such as kidney, heart, lung and liver but it is also expressed in brain.
The physiological function of the KCNK13 channel is not clear but an involvement in the physiological response to reduced oxygen levels (hypoxia) has been proposed.2
Application key:
Species reactivity key:
Alomone Labs is pleased to offer a highly specific antibody directed against an epitope in the 1st extracellular loop of the rat KCNK13 channel. Anti-KCNK13 (THIK-1) (extracellular) Antibody (#APC-121) can be used in western blot and immunohistochemical applications, and recognizes KCNK13 channel from mouse and rat samples.
