Overview
- Peptide (C)GSWHPRSYAAYALK, corresponding to amino acid residues 292-305 of human KISS1R (Accession Q969F8). 3rd extracellular loop.

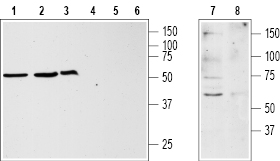
Western blot analysis of Jurkat (lanes 1 and 4), HL-60 (lanes 2 and 5), MCF-7 (lanes 3 and 6) and rat brain (lanes 7 and 8) lysates:1,2,3,7. Anti-KISS1 Receptor (GPR54) (extracellular) Antibody (#AKR-001), (1:500).
4,5,6,8. Anti-KISS1 Receptor (GPR54) (extracellular) Antibody, preincubated with KISS1 Receptor/GPR54 (extracellular) Blocking Peptide (#BLP-KR001).
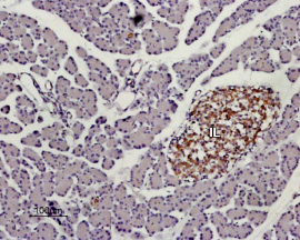
Expression of KISS1R in rat pancreasImmunohistochemical staining of paraffin embedded section of rat pancreas using Anti-KISS1 Receptor (GPR54) (extracellular) Antibody (#AKR-001), (1:100). KISS1R staining (brown) appears in Isles of Langerhans (IL). Hematoxilin is used as the counterstain.
Expression of KISS1R in rat cerebellumImmunohistochemical staining of frozen rat cerebellum section using Anti-KISS1 Receptor (GPR54) (extracellular) Antibody (#AKR-001), (1:100). A. KISS1R (green) was expressed particularly in Purkinje cell bodies (arrows). B. Staining with mouse anti-parvalbumin (red) detected Purkinje cells and interneurons in the molecular layer. C. Merge of the two images demonstrates that the staining was restricted to Purkinje cells.
- IUPHAR DATABASE | KiSS1-derived peptide receptor.
- Kauffman, A.S. et al. (2007) J. Neurosci. 27, 8826.
- Dungan, H.M. et al. (2006) Endocrinology 147, 1154.
The kisspeptin receptor (KISS1R, GPCR54) is a member of the G-protein coupled receptor superfamily. KISS1R natural ligands are peptides called kisspeptins which are encoded by the Kiss1 gene. The Kiss1 gene was originally discovered by Hershey scientists who named it after their famous chocolate, the “Kiss”.
The kisspeptins, acting through KISS1R, were found to be potent inhibitors of metastasis in a variety of cancer cell types including thyroid and pancreatic cancer cells. KISS1R and kisspeptins are involved in the direct regulation of the reproductive neuroendocrine axis.
KISS1R is widely distributed throughout the brain, where it is most highly expressed in the hypothalamic and amygdaloid nuclei. High expression was also found in the pancreas and placenta. Lower-level expression was found in a variety of other peripheral tissues including peripheral blood leukocytes, kidney, lung, testes, spleen, thymus, adrenal glands and lymph nodes.1-3
Application key:
Species reactivity key:
Anti-KISS1 Receptor (GPR54) (extracellular) Antibody (#AKR-001) is a highly specific antibody directed against an epitope of the human kisspeptin receptor. The antibody can be used in western blot and immunohistochemistry applications. It has been designed to recognize KISS1R from human, rat, and mouse samples.
Applications
Citations
- Rat brain lysates (1:500).
Jia, Y.F. et al. (2017) Int. J. Clin. Exp. Pathol. 10, 6099. - Human primary mesenchymal stem cells (MSCs).
Dotterweich, J. et al. (2016) PLoS ONE 11, e0155087.
- Canine ovary sections (1:200).
Cielesh, M. et al. (2017) Reprod. Domest. Anim. 52, 211. - Rat brain sections (1:500).
Jia, Y.F. et al. (2017) Int. J. Clin. Exp. Pathol. 10, 6099.
