Overview
- Peptide (C)EQLFHTLFAHYNR, corresponding to amino acid residues 35-47 of rat nAChRα6 (Accession P43143). Extracellular, N-terminus.

Western blot analysis of mouse (lanes 1 and 3) and rat (lanes 2 and 4) brain lysates:1,2. Anti-Nicotinic Acetylcholine Receptor α6 (CHRNA6) (extracellular) Antibody (#ANC-006), (1:1000).
3,4. Anti-Nicotinic Acetylcholine Receptor α6 (CHRNA6) (extracellular) Antibody, preincubated with Nicotinic Acetylcholine Receptor α6/CHRNA6 (extracellular) Blocking Peptide (#BLP-NC006).
Expression of nAChRα6 in rat striatumImmunohistochemical staining of immersion-fixed, free floating rat brain frozen sections using Anti-Nicotinic Acetylcholine Receptor α6 (CHRNA6) (extracellular) Antibody (#ANC-006), (1:100). A. nAChRα6 staining (red) is detected in the striatal matrix (M) but not in the striatal patches (arrows) nor in the overlying corpus callosum (CC). B. DAPI (blue) counterstain reveals the outline of the striatal matrix and patches and the overlying corpus callosum.
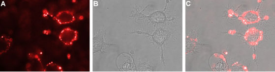
Expression of nAChRα6 in rat PC12 cellsCell surface detection of nAChRα6 in live intact rat PC12 pheochromocytoma cells. A. Extracellular staining of cells with Anti-Nicotinic Acetylcholine Receptor α6 (CHRNA6) (extracellular) Antibody (#ANC-006), (1:50), followed by goat anti-rabbit-AlexaFluor- 594 secondary antibody (red). B. Live image of the cells. C. Merge of the two images.
- Betz, H. (1990) Neuron 5, 383.
- Champtiaux, N. et al. (2003) J Neurosci. 23, 7820.
- le Novere, N. et al. (1999) Neuroreport 10, 2497.
- Quik, M. et al. (2007) Biochem. Pharmacol. 74, 1224.
- Hone, A.J. et al. (2012) FASEB J. 26, 917.
Neuronal nicotinic acetylcholine receptors (nAChRs) belong to the superfamily of ligand-gated ion channels and are widely expressed throughout the central and peripheral nervous systems. nAChRs play crucial roles in modulating a wide range of higher cognitive functions by mediating presynaptic, postsynaptic, and extrasynaptic signaling1.
Nicotinic acetylcholine receptors containing α6 subunits (nAChRα6) exhibit a unique expression pattern in the mammalian brain. nAChRs α6 are abundantly expressed in the midbrain dopaminergic (DAergic) system, including mesocorticolimbic and nigrostriatal pathways, and particularly present in presynaptic nerve terminals2. nAChRα6 expressed on DAergic neurons can be activated by endogenous acetylcholine (Ach) or exogenous nicotine and analogs, which suggests that the activation of nAChRα6 may play a vital role in central cholinergic circuits, including modulation of locomotor behaviour and drug addiction3. In addition, nAChRα6 is particularly susceptible to nigrostriatal damage, which may lead to Parkinson’s disease (PD)4. nAChRα6 are also expressed by sensory neurons; therefore, they may also play a role in disorders related to sensory perception5.
Application key:
Species reactivity key:
Alomone Labs is pleased to offer a highly specific antibody directed against an extracellular epitope of rat nAChRα6. Anti-Nicotinic Acetylcholine Receptor α6 (CHRNA6) (extracellular) Antibody (#ANC-006) can be used in western blot, live cell imaging (immunocytochemistry) and immunohistochemistry applications. It has been designed to recognize nAChRα6 from rat and mouse samples. The antibody is not recommended for human samples.