Overview
- Peptide (C)EVKIQKENDNFNISK, corresponding to amino acid residues 860 - 874 of human Plexin-C1 (Accession O60486). Extracellular, N-terminus.

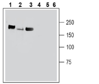
Western blot analysis of mouse brain membranes (lanes 1 and 4), rat brain membranes (lanes 2 and 5) and rat new born brain membranes (lanes 3 and 6):1-3. Anti-Plexin-C1 (extracellular) Antibody (#APR-091), (1:200).
4-6. Anti-Plexin-C1 (extracellular) Antibody, preincubated with Plexin-C1 (extracellular) Blocking Peptide (BLP-PR091).
Western blot analysis of human HL-60 acute promyelocytic leukemia cell line lysates (lanes 1 and 3) and human Malme-3M melanoma cell line lysate (lanes 2 and 4):1-2. Anti-Plexin-C1 (extracellular) Antibody (#APR-091), (1:200).
3-4. Anti-Plexin-C1 (extracellular) Antibody, preincubated with Plexin-C1 (extracellular) Blocking Peptide (BLP-PR091).
Expression of Plexin-C1 in in rat dorsal root ganglion.Immunohistochemical staining of perfusion-fixed frozen rat dorsal root ganglion (DRG) sections with Anti-Plexin-C1 (extracellular) Antibody (#APR-091), (1: 200), followed by goat anti-rabbit-AlexaFluor-488. A. Plexin-C1 immunoreactivity (green) appears in DRG neuron profiles (arrows). B. Pre-incubation of the antibody with Plexin-C1 (extracellular) Blocking Peptide (BLP-PR091), suppressed staining. Cell nuclei are stained with DAPI (blue).
- Perälä. et al. (2012), Differentiation, 83, 77.
- Chen. et al. (2012), Oncogene, 32, 4941.
- Scott. et al. (2009), J Invest Dermatol, 129, 954.
- König. et al. (2014), Eur J Immunol. 44, 2648.
Plexin-C1 also known as Virus-encoded semaphorin protein receptor, is a ∼210 kDa type I transmembrane receptor that regulates cytoskeletal remodeling and adhesion in human melanocytes.
It belongs to the family of Plexin receptors, these are type I transmembrane proteins (A–D) that share a highly conserved cytoplasmic domain and an intracellular region containing an intrinsic Ras-GTPase activating (GAP) domain. Plexin receptors bind semaphorins: a class of secreted and membrane proteins 1. The natural ligand of Plexin C1 is Semaphorin -7A (#ASR-077).
Plexin-C1 is highly expressed in melanocytes, neurons, neutrophils, dendritic cells and pre-osteoblasts and it has a complex effect on migration of melanocytes and melanoma, that depends on the phase of progression of this type of cancer 2,3. It also has additional roles in the partitioning of paraventricular and supraoptic neurons in the hypothalamus, in the development of inflamation and in inhibition of neutrophils phagocytosis 3,4.
Application key:
Species reactivity key:
Anti-Plexin-C1 (extracellular) Antibody (#APR-091) is a highly specific antibody directed against an extracellular epitope of the human protein. The antibody can be used in western blot, immunohistochemistry and flow cytometry applications. It has been designed to recognize PLXNC1 from mouse, rat and human samples.
