Overview
- Peptide (C)RRNESQDYLLMDELG, corresponding to amino acid residues 24-38 of mouse TRPC6 (Accession Q61143). Intracellular, N-terminus.

Western blot analysis of rat brain membranes:1. Anti-TRPC6 Antibody (#ACC-017), (1:200).
2. Anti-TRPC6 Antibody, preincubated with TRPC6 Blocking Peptide (#BLP-CC017).- Rat distal pulmonary smooth muscle cell lysate (PASMCs), (Zhang, Y. et al. (2013) Am. J. Physiol. 304, C833.).
- Human platelets (Hassock, S.R. et al. (2002) Blood 100, 2801.).
Expression of TRPC6 in mouse cerebellumImmunohistochemical staining of mouse cerebellum using Anti-TRPC6 Antibody (#ACC-017). A. TRPC6 (red) appears in Purkinje cells (arrows) and in the molecular (Mol) layer. B. Staining with mouse anti parvalbumin in the same brain section. C. Confocal merge of TRPC6 and PV demonstrates partial co-localization in the Purkinje and the molecular layers.
- Human U373 MG cells (1:120) (Barajas, M. et al. (2008) J. Neurosci. Res. 86, 3456.).
- Human pulmonary artery smooth muscle cells (PASMCs) (Yu, Y. et al. (2004) Proc. Natl. Acad. Sci. U.S.A. 101, 13861.).
- The blocking peptide is not suitable for this application.
- Moran, M.M. et al. (2004) Current Opin. Neurobiol. 14, 362.
- Clapham, D.E. et al. (2003) Pharmacol. Rev. 55, 591.
- Clapham, D.E. (2003) Nature 426, 517.
- Padinjat, R. and Andrews, S. (2004) J. Cell. Sci. 117, 5707.
- Huang, C.L. (2004) J. Am. Soc. Nephrol. 15, 1690.
- Winn. M.P. et al. (2005) Science, 308, 1801.
- Reiser, J. et al. (2005) Nat. Genet. 37, 739.
The Transient Receptor Potential (TRP) superfamily is one of the largest ion channel families and consists of diverse groups of proteins. In mammals, about 28 genes encode the TRP ion channel subunits. The mammalian TRP superfamily comprises six subfamilies known as the TRPC (canonical), TRPV (vanilloid), TRPM (melastatin), TRPML (mucolipins), TRPP (polycystin) and the TRPA (ANKTM1) ion channels.1-4
The TRPC subfamily consists of seven proteins named TRPC1 to 7 which can be further divided into four subgroups based on their sequence homology and functional similarities:
1. TRPC1.
2. TRPC4 and TRPC5.
3. TRPC3, TRPC6, TRPC7.
4. TRPC2.2,5
They are highly expressed in the central nervous system and to a lesser extent in peripheral tissues.
TRPC6 can form heterotetramers with TRPC3 and TRPC7. It is primarily expressed in brain, lung and muscle. High levels of expression of the channel were also found in human platelets. Recently it was reported that TRPC6 is also expressed in the kidney where a mutated channel has been implicated in kidney failure disease.6,7
Application key:
Species reactivity key:
Anti-TRPC6 Antibody (#ACC-017) is a highly specific antibody directed against an epitope of the mouse protein. The antibody can be used in western blot, immunoprecipitation, indirect flow cytometry, immunohistochemistry, and immunocytochemistry applications. It has been designed to recognize TRPC6 from mouse, rat, and human samples.

Knockout validation of Anti-TRPC6 Antibody in mouse glomerular lysates.Western blot analysis of mouse glomerular lysates using Anti-TRPC6 Antibody (#ACC-017) in wild type and TRPC6-/- mice. TRPC6 is not detected in knockout mice.Adapted from Kistler, A.D. et al. (2013) J. Biol. Chem. 288, 36598. with permission of the American Society for Biochemistry and Molecular Biology.
Applications
Citations
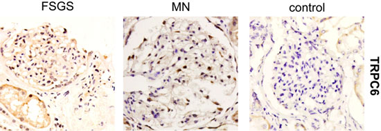
Expression of TRPC6 in human kidney from MN patientsImmunohistochemical staining of human biopsy specimens from MN patients, FSGS patients, and normal kidney tissue from tumor nephrectomy samples using Anti-TRPC6 Antibody (#ACC-017). TRPC6 expression was below detection levels in control kidneys and only slightly induced in FSGS glomeruli, whereas MN kidneys mostly showed moderate to strong positivity for TRPC6.
Adapted from Kistler, A.D. et al. (2013) J. Biol. Chem. 288, 36598. with permission of the American Society for Biochemistry and Molecular Biology.
- Immunocytochemical staining of mouse renal proximal tubular cells. Tested in TRPC6-/- mice.
Hou, X. et al. (2018) Cell Death Dis. 9, 1015. - Western blot analysis of mouse brain lysate. Tested in Trpc6-/- mice.
Feng, S. et al. (2013) Proc. Natl. Acad. Sci. U.S.A. 110, 11011. - Western blot analysis of mouse platelets. Tested in Trpc6-/- mice.
Harper, M.T. et al. (2013) Sci. Signal. 6, ra50. - Western blot analysis of mouse glomerular lysate. Tested in TRPC6-/- mice.
Kistler, A.D. et al. (2013) J. Biol. Chem. 288, 36598.
- Rat arterial segment lysate.
Jadeja, R.N. et al. (2017) Oncotarget 8, 30706. - Mouse primary skeletal myoblast lysate.
Oh, M.R. et al. (2017) Sci. Rep. 7, 17936. - Mouse heart lysate.
Ohba, T. et al. (2017) PLoS ONE 12, e0187950. - Rat pulmonary artery smooth muscle cells (PASMCs).
Urban, N. et al. (2017) Br. J. Pharmacol. 174, 4099. - Human podocytes.
Zhang, L. et al. (2017) Cell. Physiol. Biochem. 43, 1777. - Rat kidney lysate.
Zhang, L. et al. (2018) Ren. Fail. 40, 266. - Human A549 adenocarcinoma epithelial cell lysate (1:1000).
Yang, L.L. et al. (2017) Oncotarget 8, 5123. - Rat PASMCs.
Jiang, Q. et al. (2016) Am. J. Physiol. 311, C136. - Rat PASMCs.
Urban, N. et al. (2016) Mol. Pharmacol. 89, 197. - Rat kidney lysate.
Ilatovskaya, D.V. et al. (2015) Sci. Rep. 5, 17637. - Mouse caveolar fraction lysate (1:200).
Tabeling, C. et al. (2015) Proc. Natl. Acad. Sci. U.S.A. 112, E1614. - Rat heart lysate (1:100).
Jiang, Y. et al. (2014) Cell Tissue Res. 355, 201. - Mouse podocyte cell lysate.
Roshanravan, H. and Dryer, S.E. (2014) Am. J. Physiol. 306, F1088. - HEK 293 transfected cells.
Wilson, C. and Dryer, S.E. (2014) Am. J. Physiol. 306, F1018. - Rat heart lysate.
Chen, M.S. et al. (2013) Cell. Physiol. Biochem. 32, 951. - Rat glomerular mesangial cells (1:2000).
Zhang, N. and Ji, Z. (2013) Ren. Fail. 35, 971. - Rat glomerular mesangial cells (HBZY-1) (1:1000).
Qiu, G. and Ji, Z. (2013) Clin. Exp. Med. 14, 169. - Mouse brain lysate. Also tested in TRPC6-/- mice.
Feng, S. et al. (2013) Proc. Natl. Acad. Sci. U.S.A. 110, 11011. - Mouse platelets. Also tested in Trpc6-/- mice.
Harper, M.T. et al. (2013) Sci. Signal. 6, ra50. - Mouse glomerular lysate. Also tested in TRPC6-/- mice.
Kistler, A.D. et al. (2013) J. Biol. Chem. 288, 36598. - Immortalized mouse podocytes.
Zhu, L. et al. (2013) Am. J. Physiol. 304, F849. - Human platelets.
Harper, M.T. et al. (2013) Sci. Signal. 6, ra50. - Rat distal pulmonary smooth muscle cell lysate (PASMCs).
Zhang, Y. et al. (2013) Am. J. Physiol. 304, C833. - HEK 293 cells expressing mouse TRPC6 (1:200).
Shi, J. et al. (2013) J. Physiol. 591, 2851.
- Human platelets.
Hassock, S.R. et al. (2002) Blood 100, 2801.
- Rat kidney sections.
Zhang, L. et al. (2018) Ren. Fail. 40, 266. - Rat arterial sections.
Jadeja, R.N. et al. (2017) Oncotarget 8, 30706. - Human bladder sections.
Kim, J.M. et al. (2013) Oncogenesis 2, e77. - Human kidney sections.
Kistler, A.D. et al. (2013) J. Biol. Chem. 288, 36598. - Rat kidney.
Sonneveld, R. et al. (2013) Am. J. Pathol. 182, 1196.
- Human A549 adenocarcinoma epithelia cells.
Yang, L.L. et al. (2017) Oncotarget 8, 5123. - Rat primary cultured fetal and neonatal ventricular myocytes (1:100).
Jiang, Y. et al. (2014) Cell Tissue Res. 355, 201. - Rat mesenteric artery smooth muscle cells (1:100).
Brueggemann, L.I. et al. (2014) J. Biol. Chem. 289, 2099. - Rat glomerula mesangial cells (1:200).
Zhang, N. and Ji, Z. (2013) Ren. Fail. 35, 971. - Rat glomerular mesangial cells (HBZY-1) (1:1000).
Qiu, G. and Ji, Z. (2013) Clin. Exp. Med. 14, 169. - HEK 293 cells expressing mouse TRPC6 (1:500).
Shi, J. et al. (2013) J. Physiol. 591, 2851. - Human U373 MG cells (1:120).
Barajas, M. et al. (2008) J. Neurosci. Res. 86, 3456.
- Alvarez-Miguel, I. et al. (2017) J. Physiol. 595, 1497.
- He, X. et al. (2017) Proc. Natl. Acad. Sci. U.S.A. 114, E4582.
- Hong, W. et al. (2017) Cell. Physiol. Biochem. 43, 986.
- Liu, N. et al. (2017) Neurosci. Lett. 651, 1.
- Anderson, M. et al. (2013) Am. J. Physiol. 305, C276.
- Kunert Keil, C. et al. (2013) J. Renin-Angiotensin-Aldosterone System 14, 41.
- Takahashi, S. et al. (2008) J. Physiol. 506, 4209.
- Yoshida, J. et al. (2005) Eur. J. Pharmacol. 510, 217.
- Yu, Y. et al. (2004) Proc. Natl. Acad. Sci. U.S.A. 101, 13861.
- Hassock, S.R. et al. (2002) Blood 100, 2801.
- Trevino, C.L. et al. (2001) FEBS Letters 509, 119.