Overview
- Peptide GSGKKRGKFVKVPS(C), corresponding to amino acid residues 32-45 of mouse TRPM5 (Accession Q9JJH7). Intracellular, N-terminus.

Western blot analysis of rat lung membrane (lanes 1 and 2), rat testes (lanes 3 and 4), mouse ms1 pancreas cells (lanes 5 and 7) and human LNCaP prostate cell (lanes 6 and 8) lysates:1,3,5,6. Anti-TRPM5 Antibody (#ACC-045), (1:200).
2,4,7,8. Anti-TRPM5 Antibody, preincubated with TRPM5 Blocking Peptide (#BLP-CC045).
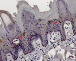
Expression of TRPM5 in rat tongueImmunohistochemical staining of rat tongue paraffin embedded sections using Anti-TRPM5 Antibody (#ACC-045), (1:100). TRPM5 is expressed in discrete groups of cells deep in the sulcus of the papillae. Hematoxilin is used as the counterstain.
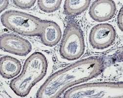
Expression of TRPM5 in rat testesImmunohistochemical staining of rat epididymis paraffin embedded sections using Anti-TRPM5 Antibody (#ACC-045), (1:100). TRPM5 is expressed in principal cells within the epididymal epithelium (arrows). Hematoxilin is used as the counterstain.
- Fleig, A. et al. (2004) Trends. Pharmacol. Sci. 25, 633.
- Vazquez, E. et al. (2006) Semin. Cell Dev. Biol. 17, 607.
- Kraft, R. et al. (2005) Pflugers. Arch. 451, 204.
- Fang, D. et al. (2000) Biochem. Biophys. Res. Commun. 279, 53.
- Huang, C.L. (2004) J. Am. Soc. Nephrol. 15, 1690.
- Montell, C. (2005) Sci. STKE. 2005, re3.
The mammalian melastatin-related transient receptor potential (TRPM) is a subfamily of the TRP family. The family was named after the first discovered member, melastatin (TRPM1) whose gene was identified in metastatic and benign melanomas1-3.
The TRPM family consists of eight members designated as TRPM1-8 that can be further divided into four pairs: TRPM1 and TRPM3; TRPM2 and TRPM8; TRPM4 and TRPM5; and TRPM6 and TRPM71,2.
The TRPM proteins share structural homology with other members of the TRP superfamily channels; six putative transmembrane domains, and cytoplasmic N- and C-termini. However, due to their long N- and C-termini they are also named the long TRP channel family1-3.
TRPM4 and TRPM5 are the only TRP channels that are permeable to monovalent cations but not to Ca2+. TRPM4 is expressed as at least two alternative spliced isoforms, TRPM4a and TRPM4b which consist of shorter and longer N-terminal regions, respectively. TRPM4a displays little activity, TRPM4b and TRPM5 appear to be directly activated by an increase in intracellular Ca2+ concentration4,5.
TRPM5 is primarily expressed in taste buds and also in stomach, small intestine, uterus and testes2. Regulation of TRPM5 by G-protein-coupled receptors and PLC-mediated IP3 production has been substantiated by the colocalization of TRPM5, of a taste-cell-specific PLC isoform and of receptors for sweet, bitter and amino acid (umami) tastes in taste tissue. It has furthermore been shown that desensitization of TRPM5 following receptor stimulation can be reversed by phosphatidylinositol (4,5)-bisphosphate (PIP2), the substrate of PLC2.
Application key:
Species reactivity key:
Anti-TRPM5 Antibody (#ACC-045) is a highly specific antibody directed against an epitope of the mouse protein. The antibody can be used in western blot and immunohistochemistry applications. It has been designed to recognize TRPM5 from mouse, rat and human samples.

Expression of TRPM5 in mouse trachea.Immunohistochemical staining of mouse trachea coronal sections using Anti-TRPM5 Antibody (#ACC-045). TRPM5 staining (purple) is detected in tracheal brush cells and colocalizes with ChAT staining (green).Adapted from Yamashita, J. et al. (2017) PLoS ONE 12, e0189340. with permission of PLoS.
Applications
Citations
- Western blot of mouse spinal cord. Tested in tissues treated with TRPM5 shRNA.
Bos, R. et al. (2021) Nat. Commun. 12, 6815.
- Mouse transfected melanoma cells.
Maeda, T. et al. (2017) Oncotarget 8, 78312.
- Human skin melanoma sections.
Maeda, T. et al. (2017) Oncotarget 8, 78312. - Mouse oral epithelial sections (1:3000).
Ohmoto, M. et al. (2017) Chem. Senses 42, 547. - Mouse trachea sections.
Yamashita, J. et al. (2017) PLoS ONE 12, e0189340. - Mouse tongue sections.
Nishiguchi, Y. et al. (2016) Dev. Biol. 416, 98. - Mouse olfactory tissue sections.
Goss, G.M. et al. (2016) Develop. Neurobiol. 76, 241.