Overview
- Peptide CKRRKKDKTSDGPKLFLTEE, corresponding to amino acid residues 1146-1165 of human TRPM7 (Accession Q96QT4). Intracellular, C-terminus.

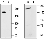
Western blot analysis of rat GH3 pituitary tumor cell line (lanes 1 and 2) and mouse brain (lanes 3 and 4) lysates:1,3. Anti-TRPM7 Antibody (#ACC-047), (1:200).
2,4. Anti-TRPM7 Antibody, preincubated with TRPM7 Blocking Peptide (#BLP-CC047).
Expression of TRPM7 in rat pituitary glandImmunohistochemical staining of rat hypophysis paraffin embedded transversal sections using Anti-TRPM7 Antibody (#ACC-047), (1:50). TRPM7 is stained in both the posterior part or neurohypophysis (N) and the anterior part or adenohypophysis (A). Note that stain is highly specific for andocrine cells in the adenohypophysis. Color reaction was obtained with SuperPicture HRP-conjugated polymer (Zymed) followed by DAB. Hematoxilin is used as the Counterstain.
- Montell, C. et al. (2002) Mol. Cell. 9, 229.
- Clapham, D.E. (2003) Nature 426, 517.
- Moran, M.M. et al. (2004) Curr. Opin. Neurobiol. 14, 362.
- Clapham, D.E. et al. (2003) Pharmacol. Rev. 55, 591.
- Harteneck, C. (2005) Naunyn. Schmiedebergs. Arch. Pharmacol. 371, 307.
- Schmitz, C. et al. (2005) J. Biol. Chem. 280, 37763.
- Aarts, M.M. et al. (2005) Neuroscientist 11, 116.
- Aarts, M.M. et al. (2005) Pflugers. Arch. 451, 243.
TRP channels are a large family (about 28 genes) of plasma membrane, non-selective cationic channels that are either specifically or ubiquitously expressed in excitable and non-excitable cells.1 The TRP channels have putative six-transmembrane domains (TM) with a pore domain between the fifth and the six TM, and all assemble as tetramers. Both the N- and the C-terminus of all TRPs are intracellular.3
According to IUPHAR the TRP family comprises of three main subfamilies on the basis of sequence homology; TRPC (canonical), TRPV (vanilloid) and TRPM (melastatin). To date, three extra subfamilies are also considered to belong to the TRP family; the TRPA, TRPML, and the TRPP.1-4
The TRPM subfamily consists of eight members, TRPM1 to TRPM8, which also can be further subdivided into four subgroups based on their sequence homology: (1)TRPM1 and TRPM3 (2) TRPM6 and TRPM7 (3) TRPM4 and TRPM5 (4) TRPM2 and TRPM8.5
TRPM7 and TRPM6 are involved in Mg2+ homeostasis and are unique among the TRP family members, possessing a functional kinase domain at their C-terminus.6,7 Although the kinase is not necessary to the function of the channel it may have a role in modulating the activation of channel 7.Recent work demonstrated that TRPM7 is a critical mediator of anoxic cell death.7,8
Application key:
Species reactivity key:
Alomone Labs is pleased to offer a highly specific antibody directed against an intracellular epitope of human TRPM7. Anti-TRPM7 Antibody (#ACC-047) can be used in western blot, immunocytochemistry, and immunohistochemistry applications. It has been designed to recognize TRPM7 from human, rat, and mouse samples.

Expression of TRPM7 in human cardiomyocytes.Immunocytochemical staining of human cardiomyocytes using Anti-TRPM7 Antibody (#ACC-047). TRPM7 expression is shown in green. Phalloidin (red) is used to stain actin filaments and Hoechst 33342 (blue) is used to stain nuclei.Adapted from Macianskiene, R. et al. (2017) PLoS ONE 12, e0170923. with permission of PLoS.
Applications
Citations
- Immunohistochemistry of mouse brain lysates. Tested in TRPM7 conditional knockout mice.
Zhang, P. et al. (2022) Cells 11, 1178.
- Human cardiomyocytes.
Macianskiene, R. et al. (2017) PLoS ONE 12, e0170923. - Mouse NIE-115 neuroblastoma transfected cells (1:500).
Visser, D. et al. (2013) Cell. Calcium. 54, 404.
