Overview
Cat #: BLP-SC012
Type: Synthetic peptide
Form: Lyophilized powder
ASIC2a Blocking Peptide (#BLP-SC012) is the original antigen used for immunization during Anti-ASIC2a Antibody (#ASC-012) generation. The blocking peptide binds and ‘blocks’ Anti-ASIC2a primary antibody, this makes it a good negative reagent control to help confirm antibody specificity in western blot and immunohistochemistry applications. This control is also often called a pre-adsorption control.
Applications: wb, ihc
Application key:
WB- Western blot, IHC- Immunohistochemistry
For research purposes only, not for human use
Applications
Demonstration of Pre-adsorption control
Western blot analysis of rat brain membranes:1. Anti-ASIC2a Antibody (#ASC-012), (1:200).
2. Anti-ASIC2a Antibody, preincubated with ASIC2a Blocking Peptide (#BLP-SC012).- Rat DRG sections (Alvarez de la Rosa, D. et al. (2002) Proc. Natl. Acad. Sci. U.S.A. 99, 2326.).
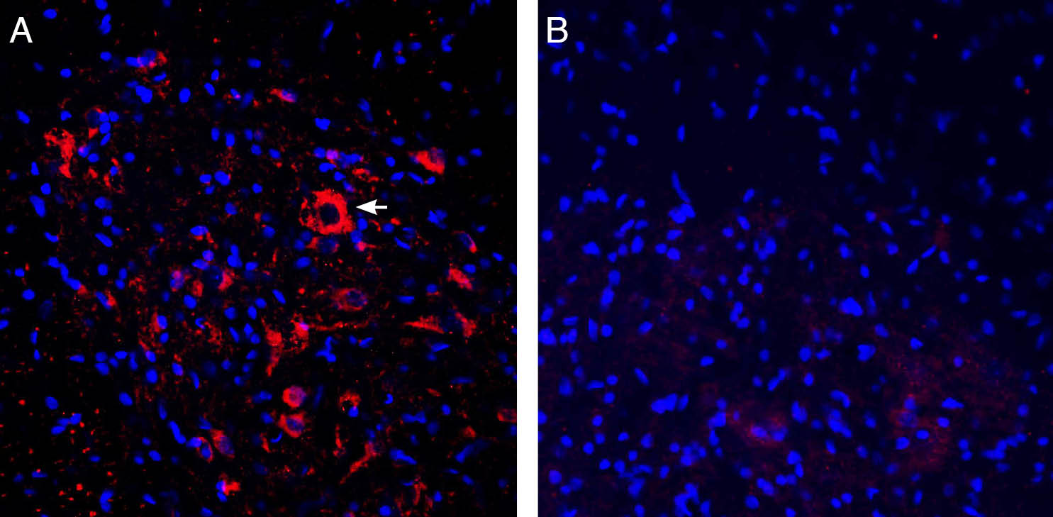
Expression of ASIC2a in rat spinal cord.Immunohistochemical staining of perfusion-fixed frozen rat spinal cord sections with Anti-ASIC2a Antibody (#ASC-012), (1:300), followed by donkey anti-rabbit-Cy3. A. ASIC2a immunoreactivity (red) appeared in neuronal soma (horizontal arrow) in the ventral horn of the spinal cord. B. Pre-incubation of the antibody with ASIC2a Blocking Peptide (BLP-SC012), suppressed staining. Cell nuclei are stained with DAPI (blue).
Properties
Sequence
Accession (Uniprot) Number Q16515
Peptide Confirmation Confirmed by amino acid analysis and mass spectrometry.
Purity >70%
Storage Before Reconstitution Lyophilized powder can be stored intact at room temperature for two weeks. For longer periods, it should be stored at -20°C.
Reconstitution 100 µl double distilled water (DDW).
Storage After Reconstitution -20°C.
Antigen Preadsorption Control 1 μg peptide per 1 μg antibody.
Standard Quality Control Of Each Lot Western blot analysis.
