Overview
Cat #: BLP-PC060
Type: Synthetic peptide
Form: Lyophilized powder
CNGA3 Blocking Peptide (#BLP-PC060) is the original antigen used for immunization during Anti-CNGA3 Antibody (#APC-060) generation. The blocking peptide binds and ‘blocks’ Anti-CNGA3 primary antibody, this makes it a good negative reagent control to help confirm antibody specificity in western blot and immunohistochemistry applications. This control is also often called a pre-adsorption control.
Applications: wb, ihc
Application key:
WB- Western blot, IHC- Immunohistochemistry
For research purposes only, not for human use
Applications
Demonstration of Pre-adsorption control
Western blot analysis of rat brain membranes:1. Anti-CNGA3 Antibody (#APC-060), (1:200).
2. Anti-CNGA3 Antibody, preincubated with CNGA3 Blocking Peptide (#BLP-PC060).
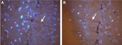
Expression of CNG3 in rat brainImmunohistochemical staining of frozen rat hippocampal dentate gyrus (DG) sections using Anti-CNGA3 Antibody (#APC-060). Neurons were found in the hilus of the DG with dendritic processes extending across the granule cell layer (arrows) both in the dorsal blade (A) and ventral blade (B). Diaminobenzidine color product is blue-black (arrows). DAPI is used as the counterstain (silver).
Properties
Sequence
Accession (Uniprot) Number Q9QWN7
Peptide Confirmation Confirmed by amino acid analysis and mass spectrometry.
Purity >70%
Storage Before Reconstitution Lyophilized powder can be stored intact at room temperature for two weeks. For longer periods, it should be stored at -20°C.
Reconstitution 100 µl double distilled water (DDW).
Storage After Reconstitution -20°C.
Antigen Preadsorption Control 1 μg peptide per 1 μg antibody.
Standard Quality Control Of Each Lot Western blot analysis.
