Overview
Cat #: BLP-PC123
Type: Synthetic peptide
Form: Lyophilized powder
Kir5.1 Blocking Peptide (#BLP-PC123) is the original antigen used for immunization during Anti-Kir5.1 Antibody (#APC-123) generation. The blocking peptide binds and ‘blocks’ Anti-Kir5.1 primary antibody, this makes it a good negative reagent control to help confirm antibody specificity in western blot and immunohistochemistry applications. This control is also often called a pre-adsorption control.
Applications: wb, ihc
Application key:
WB- Western blot, IHC- Immunohistochemistry
For research purposes only, not for human use
Applications
Demonstration of Pre-adsorption control
Western blot analysis of rat kidney (lanes 1 and 3) and liver (lanes 2 and 4) membranes:1,2. Anti-Kir5.1 Antibody (#APC-123), (1:200).
3,4. Anti-Kir5.1 Antibody, preincubated with Kir5.1 Blocking Peptide (#BLP-PC123).
Western blot analysis of mouse brain (lanes 1 and 3) and kidney (lanes 2 and 4) membranes:1,2. Anti-Kir5.1 Antibody (#APC-123), (1:200).
3,4. Anti-Kir5.1 Antibody, preincubated with Kir5.1 Blocking Peptide (#BLP-PC123).
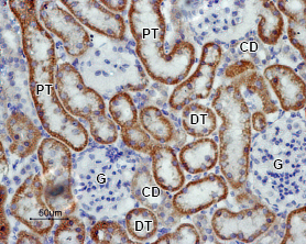
Expression of Kir5.1 in rat kidneyImmunohistochemical staining of paraffin embedded section of rat kidney using Anti-Kir5.1 Antibody (#APC-123) (1:100). Kir5.1 (brown staining) is expressed in both proximal tubules (PT) and distal tubules (DT) in the renal cortex. Note that collecting ducts (CD) are less stained while glomeruli (G) are negative. Hematoxilin is used as the counterstain.- Human brain sections (1:500) (Schirmer, L. et al. (2014) Ann. Neurol. 75, 810.).
Properties
Sequence
Accession (Uniprot) Number P52191
Peptide Confirmation Confirmed by amino acid analysis and mass spectrometry.
Purity >70%
Storage Before Reconstitution Lyophilized powder can be stored intact at room temperature for two weeks. For longer periods, it should be stored at -20°C.
Reconstitution 100 µl double distilled water (DDW).
Concentration After Reconstitution 0.4 mg/ml.
Storage After Reconstitution -20°C.
Antigen Preadsorption Control 1 μg peptide per 1 μg antibody.
Standard Quality Control Of Each Lot Western blot analysis.
