Overview
Cat #: BLP-PC105
Type: Synthetic peptide
Form: Lyophilized powder
Kir6.1/KCNJ8 Blocking Peptide (#BLP-PC105) is the original antigen used for immunization during Anti-Kir6.1 (KCNJ8) Antibody (#APC-105) generation. The blocking peptide binds and ‘blocks’ Anti-Kir6.1/KCNJ8 primary antibody, this makes it a good negative reagent control to help confirm antibody specificity in western blot and immunohistochemistry applications. This control is also often called a pre-adsorption control.
Applications: wb, ihc
Application key:
WB- Western blot, IHC- Immunohistochemistry
For research purposes only, not for human use
Applications
Demonstration of Pre-adsorption control
Western blot analysis of rat heart membranes:1. Anti-Kir6.1 (KCNJ8) Antibody (#APC-105), (1:200).
2. Anti-Kir6.1 (KCNJ8) Antibody, preincubated with Kir6.1/KCNJ8 Blocking Peptide (#BLP-PC105).
Western blot analysis of rat cortex lysate:1. Anti-Kir6.1 (KCNJ8) Antibody (#APC-105), (1:200).
2. Anti-Kir6.1 (KCNJ8) Antibody, preincubated with Kir6.1/KCNJ8 Blocking Peptide (#BLP-PC105).
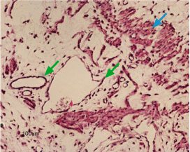
Expression of Kir6.1 in rat uterusImmunohistochemical stain of pregnant rat longitudinal section of the myometrium using Anti-Kir6.1 (KCNJ8) Antibody (#APC-105), (1:50). Strong and specific staining is evident in smooth muscles cells both in the myometrium (blue arrow) and muscular layers of blood vessels (green arrow). Peroxidase reaction with DAB were used for the color reaction. Hematoxilin is used as the counterstain.- Mouse brain sections (1:100) (Parsons, M.P. and Hirasawa, M. (2010) J. Neurosci. 30, 8061.).
Properties
Sequence
Accession (Uniprot) Number Q63664
Peptide Confirmation Confirmed by amino acid analysis and mass spectrometry.
Purity >70%
Storage Before Reconstitution Lyophilized powder can be stored intact at room temperature for two weeks. For longer periods, it should be stored at -20°C.
Reconstitution 100 µl double distilled water (DDW).
Storage After Reconstitution -20°C.
Antigen Preadsorption Control 1 μg peptide per 1 μg antibody.
Standard Quality Control Of Each Lot Western blot analysis.
