Overview
Cat #: BLP-MR025
Type: Synthetic peptide
Form: Lyophilized powder
MC5 Receptor Blocking Peptide (#BLP-MR025) is the original antigen used for immunization during Anti-MC5 Receptor Antibody (#AMR-025) generation. The blocking peptide binds and ‘blocks’ Anti-MC5 Receptor primary antibody, this makes it a good negative reagent control to help confirm antibody specificity in western blot and immunohistochemistry applications. This control is also often called a pre-adsorption control.
Applications: wb, ihc
Application key:
WB- Western blot, IHC- Immunohistochemistry
For research purposes only, not for human use
Applications
Demonstration of Pre-adsorption control
Western blot analysis of rat (lanes 1 and 3) and mouse (lanes 2 and 4) brain membranes:1,2. Anti-MC5 Receptor Antibody (#AMR-025), (1:200).
3,4. Anti-MC5 Receptor Antibody, preincubated with MC5 Receptor Blocking Peptide (#BLP-MR025).
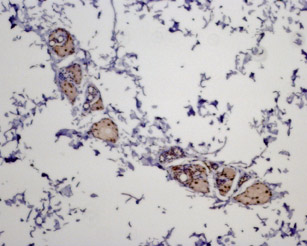
Expression of MC5R in rat skinImmunohistochemical staining of paraffin embedded rat skin section using Anti-MC5 Receptor Antibody (#AMR-025), (1:100). MC5R staining is present in sebaceous glands. Hematoxilin is used as the counterstain.
Properties
Sequence
Accession (Uniprot) Number P41149
Peptide Confirmation Confirmed by amino acid analysis and mass spectrometry.
Purity >70%
Storage Before Reconstitution Lyophilized powder can be stored intact at room temperature for two weeks. For longer periods, it should be stored at -20°C.
Reconstitution 100 µl double distilled water (DDW).
Concentration After Reconstitution 0.4 mg/ml.
Storage After Reconstitution -20°C.
Antigen Preadsorption Control 1 μg peptide per 1 μg antibody.
Standard Quality Control Of Each Lot Western blot analysis.
