Overview
Cat #: BLP-PR017
Type: Synthetic peptide
Form: Lyophilized powder
P2Y13 Receptor Blocking Peptide (#BLP-PR017) is the original antigen used for immunization during Anti-P2Y13 Receptor Antibody (#APR-017) generation. The blocking peptide binds and ‘blocks’ Anti-P2Y13 Receptor primary antibody, this makes it a good negative reagent control to help confirm antibody specificity in western blot and immunohistochemistry applications. This control is also often called a pre-adsorption control.
Applications: wb, ihc
Application key:
WB- Western blot, IHC- Immunohistochemistry
For research purposes only, not for human use
Applications
Demonstration of Pre-adsorption control
Western blot analysis of rat brain membranes:1. Anti-P2Y13 Receptor Antibody (#APR-017), (1:200).
2. Anti-P2Y13 Receptor Antibody, preincubated with P2Y13 Receptor Blocking Peptide (#BLP-PR017).
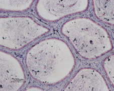
Expression of P2RY13 in rat testisImmunohistochemical staining of paraffin embedded rat epidydimus section using Anti-P2Y13 Receptor Antibody (#APR-017), (1:50). Strong and high specific staining of the epithelial cells is shown. Universal Immuno-alkaline-phosphatase kit followed by New Fuchsin Substrate was used for color reaction (red). Hematoxilin is used as the counterstain.
Properties
Sequence
Accession (Uniprot) Number Q9BPV8
Peptide Confirmation Confirmed by amino acid analysis and mass spectrometry.
Purity >70%
Storage Before Reconstitution Lyophilized powder can be stored intact at room temperature for two weeks. For longer periods, it should be stored at -20°C.
Reconstitution 100 µl double distilled water (DDW).
Concentration After Reconstitution 0.4 mg/ml.
Storage After Reconstitution -20°C.
Antigen Preadsorption Control 1 µg peptide per 1 µg antibody.
Standard Quality Control Of Each Lot Western blot analysis.
