Overview
Cat #: BLP-NR004
Type: Synthetic peptide
Form: Lyophilized powder
Syntaxin 4 Blocking Peptide (#BLP-NR004) is the original antigen used for immunization during Anti-Syntaxin 4 Antibody (#ANR-004) generation. The blocking peptide binds and ‘blocks’ Anti-Syntaxin 4 primary antibody, this makes it a good negative reagent control to help confirm antibody specificity in western blot and immunohistochemistry applications. This control is also often called a pre-adsorption control.
Applications: wb, ihc
Application key:
WB- Western blot, IHC- Immunohistochemistry
For research purposes only, not for human use
Applications
Demonstration of Pre-adsorption control
Western blot anlysis of rat heart lysate:1. Anti-Syntaxin 4 Antibody (ANR-004), (1:400).
2. Anti-Syntaxin 4 Antibody, preincubated with Syntaxin 4 Blocking Peptide (#BLP-NR004).
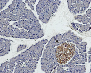
Expression of syntaxin 4 in rat pancreasImmunohistochemical staining of rat pancreas paraffin embedded sections using Anti-Syntaxin 4 Antibody (#ANR-004), (1:100). STX4 (brown staining) is expressed in endocrine cells of the Isles of Langerhans (arrow). Hematoxilin is used as the counterstain.
Properties
Sequence
Accession (Uniprot) Number Q08850
Peptide Confirmation Confirmed by amino acid analysis and mass spectrometry.
Purity >70%
Storage Before Reconstitution Lyophilized powder can be stored intact at room temperature for two weeks. For longer periods, it should be stored at -20°C.
Reconstitution 100 µl double distilled water (DDW).
Concentration After Reconstitution 0.4 mg/ml.
Storage After Reconstitution -20°C.
Antigen Preadsorption Control 1 μg peptide per 1 μg antibody.
Standard Quality Control Of Each Lot Western blot analysis.
