Overview
Cat #: BLP-CC052
Type: Synthetic peptide
Form: Lyophilized powder
TRPP1/PKD2 Blocking Peptide (#BLP-CC052) is the original antigen used for immunization during Anti-TRPP1 (PKD2) Antibody (#ACC-052) generation. The blocking peptide binds and ‘blocks’ Anti-TRPP1/PKD2 primary antibody, this makes it a good negative reagent control to help confirm antibody specificity in western blot and immunohistochemistry applications. This control is also often called a pre-adsorption control.
Applications: wb, ihc
Application key:
WB- Western blot, IHC- Immunohistochemistry
For research purposes only, not for human use
Applications
Demonstration of Pre-adsorption control
Western blot analysis of rat kidney membrane proteins (lanes 1 and 3) and mouse kidney lysate (lanes 2 and 4):1,2. Anti-TRPP1 (PKD2) Antibody (#ACC-052), (1:200).
3,4. Anti-TRPP1 (PKD2) Antibody, preincubated with TRPP1/PKD2 Blocking Peptide (#BLP-CC052).
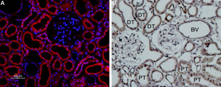
Expression of TRPP1 (PKD2) in rat kidneyImmunohistochemical staining of rat kidney paraffin embedded sections using Anti-TRPP1 (PKD2) Antibody (#ACC-052), (1:100), followed by goat anti-rabbit-Alexa-Fluor-594 secondary antibody. A. TRPP1 staining followed by goat anti-rabbit-Alexa-Fluor-594 secondary antibody (red) appears in the renal cortex, mainly in the distal tubules. B. DAB staining of TRPP1 (brown) also shows that the renal corpuscle and the blood vessels are not stained at all. (PT = proximal tubule, DT = distal tubule).
Properties
Sequence
Accession (Uniprot) Number Q13563
Peptide Confirmation Confirmed by amino acid analysis and mass spectrometry.
Purity >70%
Storage Before Reconstitution Lyophilized powder can be stored intact at room temperature for two weeks. For longer periods, it should be stored at -20°C.
Reconstitution 100 µl double distilled water (DDW).
Concentration After Reconstitution 0.4 mg/ml.
Storage After Reconstitution -20°C.
Antigen Preadsorption Control 1 µg peptide per 1 µg antibody.
Standard Quality Control Of Each Lot Western blot analysis.
