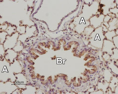
Anti-Adenosine A2B Receptor (extracellular) Antibody (#AAR-003) is a highly specific antibody directed against an extracellular epitope of human adenosine A2B receptor (A2BAR). The antibody can be used in western blot, immunohistochemistry, live cell imaging and indirect flow cytometry applications. It has been designed to recognize A2BAR from human, rat and mouse samples.