Overview
- Peptide (C)EKDGAKKSLMQRLALK, corresponding to amino acid residues 4-19 of rat AQP9 (Accession P56627). Intracellular, N-terminus.

Western blot analysis of rat brain (lanes 1 and 4), testis (lanes 2 and 5) and liver (lanes 3 and 6) membranes:1,2,3. Anti-Aquaporin 9 Antibody (#AQP-009), (1:200).
4,5,6. Anti-Aquaporin 9 Antibody, preincubated with Aquaporin 9 Blocking Peptide (#BLP-QP009).
Western blot analysis of rat H4-II-E-C3 hepatoma cell line lysate:1. Anti-Aquaporin 9 Antibody (#AQP-009), (1:200).
2. Anti-Aquaporin 9 Antibody, preincubated with Aquaporin 9 Blocking Peptide (#BLP-QP009).
Western blot analysis of mouse brain membranes:1. Anti-Aquaporin 9 Antibody (#AQP-009), (1:200).
2. Anti-Aquaporin 9 Antibody, preincubated with Aquaporin 9 Blocking Peptide (#BLP-QP009).
Expression of AQP9 in rat liverImmunohistochemical staining of rat liver paraffin embedded sections using Anti-Aquaporin 9 Antibody (#AQP-009) (1:100). AQP9 (brown) is expressed in hepatocytes of the liver parenchyma. Hematoxilin is used as the counterstain.
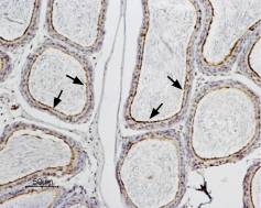
Expression of AQP9 in rat epididymisImmunohistochemical staining of rat testis paraffin embedded section using Anti-Aquaporin 9 Antibody (#AQP-009), (1:100). AQP9 (brown) is expressed in the columnar epithelium of the epididymus (arrows). Hematoxilin is used as the counterstain.
- Rojek, A.M. et al. (2007) Proc. Natl. Acad. Sci. U.S.A. 104, 3609.
- King, L.S. et al. (2004) Nat. Rev. Mol. Cell Biol. 5, 687.
- Koyama, Y. et al. (1997) J Biol Chem 272, 30329.
Aquaporin 9 (AQP-9) belongs to a family of membrane proteins that allow passage of water and certain other solutes through biological membranes.1 The family is composed of 13 members (AQP-0 to AQP-12). Little is known about the function of the two newest members, AQP-11 and AQP-12.
The aquaporins can be divided into two functional groups based on their permability characteristics: the aquaporins that are permeated primarily by water (AQP-1, AQP-2, AQP4, AQP-5, AQP-6, AQP-8), and the aquaglyceroporins that are permeated by water and other small solutes such as glycerol. This last group includes AQP-3, AQP-7, AQP-9 and AQP-10.
The proteins present a conserved structure of six transmembrane domains with intracellular N- and C-termini. The functional channel is a tetramer but each subunit has a separate pore and therefore the functional channel unit contains four pores.2
AQP-9 is expressed in several tissues including the brain, liver, testis and spleen. In the liver AQP-9 has a central role in glycerol metabolism as demonstrated in experiments using AQP-9 knockout mice: mice deficient in AQP-9 expression showed enhanced plasma levels of glycerol and triglycerides.3
Application key:
Species reactivity key:
Anti-Aquaporin 9 Antibody (#AQP-009) is a highly specific antibody directed against an epitope of the rat protein. The antibody can be used in western blot and immunohistochemistry applications. It has been designed to recognize AQP9 from mouse and rat samples.
Applications
Citations
- Sheep ovary sections (1:100).
Sales, A.D. et al. (2016) Cell Tissue Res. 365, 415.
- Hollborn, M. et al. (2011) Curr. Eye Res. 36, 850.