Overview
- Peptide (C)REIKGKETNMADSYH, corresponding to amino acid residues 14-28 of rat AQP8 (Accession P56405). Intracellular, N-terminus.

Western blot analysis of rat small intestine membranes:1. Anti-Aquaporin 8 Antibody (#AQP-008), (1:200).
2. Anti-Aquaporin 8 Antibody, preincubated with Aquaporin 8 Blocking Peptide (#BLP-QP008).
Western blot analysis of rat pancreas membranes:1. Anti-Aquaporin 8 Antibody (#AQP-008), (1:400).
2. Anti-Aquaporin 8 Antibody, preincubated with Aquaporin 8 Blocking Peptide (#BLP-QP008).
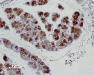
Expression of AQP8 in rat pancreasImmunohistochemical staining of rat pancreas paraffin-embedded sections using Anti-Aquaporin 8 Antibody (#AQP-008), (1:100). Staining (brown) is specific for the apical portion of acinar cells in the exocrine pancreas. Hematoxilin is used as the counterstain.
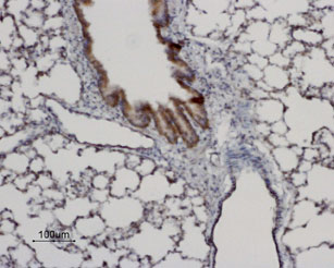
Expression of AQP8 in rat lungImmunohistochemical staining of rat lung paraffin-embedded sections using Anti-Aquaporin 8 Antibody (#AQP-008), (1:100). Staining (brown) is specific for the bronchiolar epithelium. Hematoxilin is used as the counterstain.
- Zahn, A. et al. (2007) World J. Gastroenterol. 13, 1687.
- Laforenza, U. et al. (2005) J. Nutr. 135, 2329.
- King, L.S. et al. (2004) Nat. Rev. Mol. Cell Biol. 5, 687.
- Ma, T. and Verkman, A.S. (1999) J. Physiol. 517, 317.
- Koyama, Y. et al. (1997) J Biol Chem 272, 30329.
Aquaporin 8 (AQP-8) belongs to a family of membrane proteins that allow passage of water and certain other solutes through biological membranes.1 The family is composed of 13 members (AQP-0 to AQP-12). Little is known about the function of the two newest members, AQP-11 and AQP-12.
The aquaporins can be divided into two functional groups based on their permability characteristics: the aquaporins that are permeated primarily by water and include besides AQP-8, AQP-1, AQP-2, AQP4 and AQP-5, and the aquaglyceroporins that are permeated by water and other small solutes such as glycerol. This last group includes AQP-3, AQP-7, AQP-9 and AQP-10.
The proteins present a conserved structure of six transmembrane domains with intracellular N- and C-termini. The functional channel is a tetramer but each subunit has a separate pore and therefore the functional channel unit, contains four pores.2
AQP-8 is expressed along the gastrointestinal tract including small intestine, colon, pancreas and liver and also in other organs such as testis, lung and kidney.
The physiological function of AQP-8 is not entirely clear but studies suggest that it has an important role in colonic water adsorption and hepatocyte bile formation.3,4 Interestingly, AQP-8 expression is markedly altered in gastrointestinal disorders such as ulcerative colitis and inflammatory bowel disease.5
Application key:
Species reactivity key:
Anti-Aquaporin 8 Antibody (#AQP-008) is a highly specific antibody directed against an epitope of the rat protein. The antibody can be used in western blot and immunohistochemistry applications. It has been designed to recognize AQP8 from rat samples only.