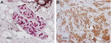
Anti-Human PAR1 (F2R) (extracellular) Antibody (#APR-031) is a highly specific antibody directed against an epitope of human protease-activated receptor-1. The antibody can be used in western blot, immunohistochemistry, immunocytochemistry, and live cell flow cytometry applications. It has been designed to recognize PAR-1 from human samples.