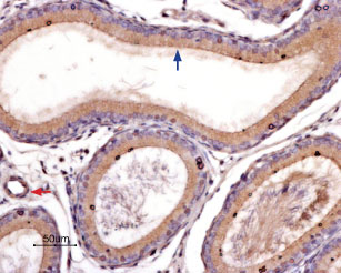
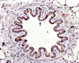
Anti-PAR4 (F2RL3) (extracellular) Antibody (#APR-034) is a highly specific antibody directed against an extracellular epitope of human protease-activated receptor-4. The antibody can be used in western blot analysis, immunohistochemical, immunocytochemical and flow cytometry applications. It has been designed to recognized PAR-4 from human, mouse and rat samples.