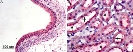
Anti-Aquaporin 7 Antibody (#AQP-007) is a highly specific antibody directed against an epitope of the rat protein. The antibody can be used in western blot, immunocytochemistry, and immunohistochemistry applications. It has been designed to recognize AQP-7 from mouse and rat samples, and may recognize the channel from human samples.